Top 9 Nha khoa trồng răng Implant tốt nhất tại Hà Nội
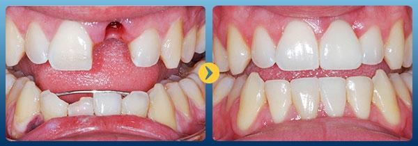
Trồng răng Implant là giải pháp phục hình hiện đại, giúp khôi phục răng mất hiệu quả, đảm bảo thẩm mỹ và chức năng ăn nhai như răng thật. Để đạt kết quả tốt, ... xem thêm...việc lựa chọn nha khoa uy tín là rất quan trọng. Bài viết sau của Toplist đã tổng hợp những địa chỉ trồng răng Implant tốt nhất tại Hà Nội, với bác sĩ giỏi, công nghệ tiên tiến và dịch vụ tận tâm.
-
Nha khoa Quốc tế Việt Đức
Gọi điệnNha khoa Quốc tế Việt Đức – Thành lập từ năm 2005, là một trong những địa chỉ nha khoa hàng đầu tại Hà Nội, nổi bật với dịch vụ trồng răng Implant chất lượng cao. Được sáng lập bởi TS.BS.CKI Lê Văn Thạch – Nguyên Chủ nhiệm Khoa Răng Hàm Mặt Bệnh viện 108 và NCS.ThS. Trịnh Đức Mậu, nha khoa đã tiếp nhận công nghệ hiện đại từ Đức và đào tạo chuyên sâu tại Pháp, Mỹ, Hàn Quốc, Ý.
Với hơn 5.000 ca cấy ghép Implant thành công, Nha khoa Việt Đức đã trở thành một trong những cơ sở trồng răng Implant uy tín nhất Hà Nội. Đây cũng là một trong những phòng khám tiên phong áp dụng kỹ thuật Implant tại Việt Nam, mang lại hiệu quả vượt trội và sự hài lòng cao từ khách hàng.
Ưu điểm khi trồng răng Implant tại Nha khoa Việt Đức:- Đội ngũ bác sĩ chuyên sâu, trên 15 năm kinh nghiệm, tốt nghiệp các trường Y danh tiếng như Đại học Y Hà Nội, Đại học Răng Hàm Mặt.
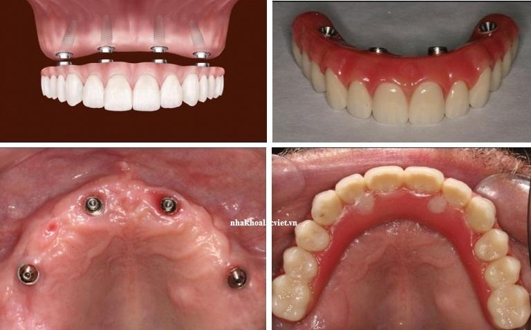
- Công nghệ cấy ghép All-on-4 hiện đại, phục hình nhanh chóng, chính xác, rút ngắn thời gian điều trị.
- Hệ thống chẩn đoán hình ảnh 3D Cone Beam CT, kết hợp phần mềm Nobel Clinician giúp mô phỏng phẫu thuật cấy ghép ảo, hỗ trợ xử lý các ca phức tạp hiệu quả.
- Trụ Implant chính hãng nhập khẩu trực tiếp từ Đức, Mỹ, Hàn Quốc – đảm bảo chất lượng và giá thành hợp lý.
- Phòng khám 5 sao, có phòng phẫu thuật vô trùng riêng biệt, sử dụng hệ thống siêu vô trùng Extra AS với công nghệ HINS giúp khử khuẩn tối ưu.
Với sự đầu tư bài bản và công nghệ hàng đầu, Nha khoa Quốc tế Việt Đức là lựa chọn lý tưởng cho những ai đang tìm kiếm dịch vụ cấy ghép Implant an toàn, hiệu quả tại Hà Nội.
THÔNG TIN LIÊN HỆ:
Địa chỉ: Số 84A Hai Bà Trưng, Hoàn Kiếm, Hà Nội
Điện thoại: 1900 6465
Email: info@nhakhoavietduc.com.vn
Website: https://nhakhoavietduc.com.vn/
Fanpage: https://www.facebook.com/nhakhoaquoctevietduc
Giờ mở cửa: 7:30 - 20:00 (thứ 2 - chủ nhật)
Gọi điện
Nha khoa Quốc tế Việt Đức 
Nha khoa Quốc tế Việt Đức -
Nha khoa Thúy Đức
Gọi điệnDù đã được phổ biến rộng rãi nhưng việc cấy ghép trụ Implant vẫn là một kỹ thuật công phu, cần được thực hiện bởi bác sĩ có tay nghề giỏi, chuyên môn sâu và có nhiều năm kinh nghiệm. Một trong những địa chỉ uy tín có thể mang đến cho bạn dịch vụ trồng răng implant chất lượng nhất phải kể đến là Nha khoa Thúy Đức - thương hiệu nha khoa đã làm hài lòng hàng ngàn nụ cười Việt mỗi năm.
Vì sao bạn nên lựa chọn dịch vụ trồng răng Implant tại Nha khoa Thúy Đức?- Nha khoa gần 20 năm kinh nghiệm trong ngành.
- Được trực tiếp thăm khám và điều trị bởi các tiến sĩ, bác sĩ có tay nghề cao, tốt nghiệp đại học Y Hà Nội, điển hình là bác sĩ Nguyễn Thanh Tuấn, hơn 10 năm kinh nghiệm trong nghề với hàng ngàn ca cấy ghép Implant thành công.
- Sử dụng các dòng trụ Implant chính hãng từ Thụy Sĩ, Hàn Quốc, Pháp,... vừa an toàn với sức khỏe khách hàng, vừa giúp đẩy nhanh quá trình tích hợp trụ Implant với xương hàm.
- Hợp đồng minh bạch, không phát sinh thêm chi phí. Thời gian bảo hành dài lâu tới 10 - 15 năm.
- Trang thiết bị tiên tiến, tiên phong công nghệ y khoa: công nghệ scan dấu răng hiện đại nhất thế giới iTero Lumina, máy chụp X-quang VATECH Pax-i, máy cắm implant Dentium ICT, máy điều trị tủy EndoMatic, máy nhổ răng siêu âm Piezotome,...
Nếu bạn vẫn còn đang đau đầu trong việc tìm giải pháp triệt để giúp phục hồi toàn diện cả về thẩm mỹ và chức năng ăn nhai cho phần răng đã mất, hãy liên hệ ngay với hotline của Nha khoa Thúy Đức để nhận tư vấn chi tiết và đặt lịch thăm khám cùng bác sĩ!
THÔNG TIN LIÊN HỆ:
Địa chỉ:- Cơ sở 1: 64 Phố Vọng, Phương Mai, Đống Đa, Hà Nội
- Cơ sở 2: Tòa GP Building, 257 Giải Phóng, Phương Mai, Đống Đa, Hà Nội
Điện thoại: 0931 863 366 & 0963 614 566
Website: https://nhakhoathuyduc.com.vn
Fanpage:
Gọi điện
Bác sĩ Nguyễn Thanh Tuấn với +10 năm kinh nghiệm trong lĩnh vực cấy ghép Implant. 
Nha khoa Thúy Đức với không gian hiện đại, ấm cúng cùng nhiều máy móc, trang thiết bị hiện đại -
Nha khoa Minh Thu - Hơn 35 năm lời khẳng định bền vững
Gọi điệnThành lập từ ngày 19/12/1989 bởi Bác sĩ Hà Minh Thu - Nguyên Trưởng khoa Nắn chỉnh răng Viện Răng Hàm Mặt TW, Trưởng bộ môn Nắn chỉnh răng ĐH Răng Hàm Mặt, Minh Thu tự hào là một trong phòng khám thực hiện triển khai Cấy ghép Implant từ sớm tại Việt Nam từ năm 2005. Qua hơn 35 năm thành lập và phát triển, Nha khoa Minh Thu đã đem đến nụ cười KHỎE – ĐẸP - BỀN VỮNG cho hàng chục nghìn khách hàng.
Đội ngũ bác sĩ tại Nha khoa Minh Thu đều tốt nghiệp các trường đại học danh giá với kinh nghiệm đều hơn 10 năm trong ngành và là thành viên của các hiệp hội nha khoa uy tín hàng đầu như: Hiệp hội bác sĩ Chỉnh Nha Thế Giới WFO, Hiệp hội bác sĩ chỉnh nha máng trong Châu Âu EAS, Hiệp Hội bác sĩ chỉnh nha Hoa Kỳ AAO, Hiệp hội các bác sĩ Cấy Ghép Implant quốc tế ITI (International Team for Implantology), Hiệp hội nha khoa lâu đời và uy tín nhất thế giới IDC (International College of Dentists 1920),… Các bác sĩ liên tục cập nhật kiến thức, phương pháp, công nghệ qua các khóa học, tham gia các Hội thảo chuyên ngành RHM lớn nhất trong nước và quốc tế như Mỹ, Châu Âu Ý, Pháp, Tây Ban Nha, Áo…Nhật, Hàn Quốc, Singapore… hàng năm.
Tại sao nên lựa chọn cấy ghép implant tại Nha khoa Minh Thu?- Kinh nghiệm chuyên sâu: Thành lập từ năm 1989, Nha Khoa Minh Thu có hơn 35 năm kinh nghiệm chuyên sâu về nắn chỉnh răng, cấy ghép Implant, răng thẩm mỹ,... và là một trong những phòng khám triển khai Cấy ghép Implant sớm tại VN từ năm 2005. Trong suốt hơn 35 năm đã thực hiện cấy ghép Implant cho hàng ngàn bệnh nhân từ đơn giản đến phức tạp với rất nhiều hệ thống Implant khác nhau.
- Tư vấn từ TÂM: Chẩn đoán chính xác tình trạng răng miệng để tư vấn cho bệnh nhân loại phù hợp và tốt nhất ngay từ đầu, hạn chế biến chứng, không lo đào thải sau này.
- Cơ sở vật chất hiện đại: Tại phòng khám có đầy đủ trang thiết bị hiện đại như: máy chụp phim CT Cone Beam 3D của Ý, Máy scan iTero Lumina của Mỹ, hệ thống máy phẫu thuật từ Nhật, Thụy Sĩ,... Tất cả dụng cụ và thiết bị đều vô trùng kỹ lưỡng, phòng phẫu thuật máy móc đảm bảo vô trùng, quy trình khử khuẩn khắt khe, hỗ trợ bác sĩ tối đa trong việc chẩn đoán và thực hiện chính xác từng thủ thuật. Phòng khám sử dụng 100% trụ Implant cao cấp chính hãng từ Thụy Sĩ, Mỹ, Đức, Pháp, Thụy Điển, Hàn Quốc.
- Đội ngũ chuyên gia: Các chuyên gia tại Nha khoa Minh Thu đều có bằng cấp, chứng chỉ chuyên sâu về Implant như: Đại học Y Hà Nội, Đại học Yonsei Seoul Hàn Quốc, Lớp Cao học ĐH Pháp Bordeaux 2 chuyên đề Implant, Đại học Okayama, Nhật Bản và là thành viên hiệp hội Implant quốc tế ITI (International Team for Implantology)
- Công nghệ tiên tiến, an toàn: Áp dụng công nghệ mới nhất giúp bác sĩ cấy ghép răng Implant chính xác, nhanh chóng, từ vị trí đến góc nghiêng và độ sâu, hạn chế những biến chứng do sai hướng, sai vị trí Implant, đảm bảo sự an toàn tuyệt đối cho bệnh nhân. Đồng thời, bệnh nhân sẽ được giảm thiểu cảm giác đau đớn nhờ công nghệ gây tê hiện đại
- Bảo hành lâu dài: Chính sách bảo hành và chăm sóc cho bệnh nhân minh bạch và lâu dài.
THÔNG TIN LIÊN HỆ:
Địa chỉ:- Cơ sở 1: 193 C3 Bà Triệu, Hà Nội – Hotline: 024 3976 0891
- Cơ sở 2: 92 Hoàng Ngân, Hà Nội – Hotline: 024 3556 8837
- Cơ sở 3: Tầng 2, H4H5 Hope Residences, Chu Huy Mân, Long Biên, Hà Nội – Hotline: 024 6689 8198
Email: contact@nhakhoaminhthu.com
Website: www.nhakhoaminhthu.com
Fanpage:

Nha khoa Minh Thu – Hơn 35 năm lời khẳng định bền vững 
Nha khoa Minh Thu – Hơn 35 năm bền vững có hàng chục nghìn ca điều trị Invisalign, mắc cài, cấy ghép Implant, răng thẩm mỹ… -
Nha khoa Sea Dental
Gọi điệnTrồng răng implant là kỹ thuật khó, đòi hỏi không chỉ bác sĩ có chuyên môn cao mà trang thiết bị, công nghệ sử dụng cũng phải hiện đại, tiên tiến. Và tại Nha khoa Sea Dental - một trong những trung tâm nha khoa hàng đầu Hà Nội, bạn sẽ được trực tiếp thăm khám và điều trị bởi đội ngũ bác sĩ tay nghề cao, giàu kinh nghiệm về trồng răng implant, giúp quá trình phục hình lại răng mất được nhanh chóng và hoàn hảo nhất.
Có thể nói, Nha khoa Sea Dental luôn là cái tên tiên phong với nhiều công nghệ dẫn đầu, giúp giải quyết được những lo lắng của nhiều bệnh nhân mất răng như sợ đau, sợ biến chứng hay không bền lâu. Với kinh nghiệm gần 10 năm trong ngành thẩm mỹ nha khoa và cấy ghép Implant, tính đến nay Nha khoa Sea Dental đã kiến tạo thành công hơn 1000 nụ cười đẹp, khỏe mạnh.
Hơn hết, Nha khoa Sea Dental luôn cam kết sử dụng trụ Implant đạt chuẩn yêu cầu có thương hiệu hàng đầu Thế Giới, tỉ lệ thành công tối đa và có thời gian bảo hành lên đến 25 năm. Do vậy, khách hàng có thể yên tâm về chất lượng sản phẩm khi thực hiện trồng răng implant.
Ngoài ra, với hệ thống trang thiết bị hiện đại cùng quy trình cấy ghép trong điều kiện vô trùng tuyệt đối tại Sea Dental sẽ giúp cho quá trình cấy Implant của bạn thuận lợi hơn, từ đó hạn chế các biến chứng xảy ra.Ưu điểm của dịch vụ trồng răng implant tại Nha khoa Sea Dental:
- Ngăn ngừa tình trạng: Tiêu xương răng, tụt lợi, răng bị xô lệch,...ở người lớn tuổ
- Răng chịu lực ăn nhai tốt như răng thật, ổn định, liền xương nhanh chóng.
- Tuổi thọ răng Implant lâu dài vĩnh viễn..
- Trụ Implant chất liệu cao cấp, 100% an toàn với cơ thể.
Vì sao bạn nên lựa chọn trồng răng implant tại Nha khoa Sea Dental?
- Nha khoa chuyên sâu về cắm ghép implant
- Đội ngũ y bác sĩ thực hiện cấy ghép Implant giàu chuyên môn, được đào tạo liên tục
- Công nghệ trồng răng tiên tiến, ứng dụng số hóa trên phần mềm 3D
- Trụ implant đạt chuẩn chất lượng, nhập khẩu nước ngoài
- Máy móc thiết bị hiện đại cập nhật liên tục.
- Quy trình cấy ghép đạt chuẩn
Bạn hãy thật sáng suốt và kỹ lưỡng để có thể lựa chọn nha khoa chuyên sâu trồng răng Implant phục hồi răng mất để quá trình trồng răng đảm bảo sức khỏe, tiết kiệm thời gian và chi phí nhé. Và đừng quên, Nha khoa Sea Dental tại 166 Nguyễn Tuân, Thanh Xuân, Hà Nội luôn là một lời gợi ý tuyệt vời dành cho bạn.
THÔNG TIN LIÊN HỆ:
Địa chỉ: 166 Nguyễn Tuân, Thanh Xuân, Hà Nội
Hotline: 0911 222 798 & 0768 234 999
Email: dongnamanhakhoa@gmail.com
Website: https://seadental.vn
Fanpage: https://www.facebook.com/nk.dongnama
Gọi điện
Nha khoa Sea Dental 
Nha khoa Sea Dental -
Nha khoa Thùy Anh
Gọi điệnLà trung tâm nha khoa lớn, uy tín và có nhiều năm kinh nghiệm, Nha khoa Thùy Anh đã giúp hàng ngàn khách hàng trồng răng implant thành công, cải thiện ăn nhai hiệu quả và thẩm mỹ như răng thật.
Nha khoa Thùy Anh hiện cung cấp cả dịch vụ cấy ghép Implant và trồng răng Implant toàn hàm (All on 4, All on 6). Hiện nha khoa áp dụng kĩ thuật trồng răng Implant Flapless: là kĩ thuật trồng răng implant dưới sự hướng dẫn của máng hướng dẫn phẫu thuật 3D. Các implant được tính toán chính xác dựa trên phim chụp CT Conebeam và đặt giả định trên phần mềm SIMPLANT PRO. Sau đó, máng hướng dẫn phẫu thuật sẽ được in ra bằng công nghệ 3D.
Kỹ thuật trồng răng implant này giúp nha sĩ không cần rạch vạt lợi, không cần khâu sau phẫu thuật nên không đau, không sưng nề, không chảy máu. Vị trí và hướng cắm implant chính xác tuyệt đối, phù hợp với khớp cắn và giải phẫu xương hàm nên implant có tuổi thọ cao hơn, ăn nhai tốt hơn và thẩm mỹ hơn.
Trồng răng implant tại Nha khoa Thùy Anh đảm bảo:- Răng implant thay thế răng mất hoàn hảo, phục hình cả chân răng và thân răng, tránh tiêu xương, hóp má
- Răng mới trồng hoàn toàn độc lập, không tác động vào các răng thật xung quanh, bao vệ tối đa răng thật
- Trụ implant được làm từ titanium, an toàn, lành tính với cơ thể, tích hợp trong xương hàm cho kết quả lâu bền
- Kỹ thuật cấy ghép implant flapless tại nha khoa Thùy Anh: Giảm sưng nề - Lành thương nhanh chóng
- Bảo hành lên tới 25 năm, tuổi thọ bền trọn đời
Với cơ sở vật chất hiện đại, bác sĩ tay nghề cao và giàu kinh nghiệm, chính sách bảo hành dài hạn, Nha khoa Thùy Anh ngày càng được nhiều người tin tưởng lựa chọn.
THÔNG TIN LIÊN HỆ:
Địa chỉ:
- 181 Yên Lãng, Thịnh Quang, Đống Đa, Hà Nội
- 10 Dịch Vọng Hậu, Cầu Giấy, Hà Nội
Điện thoại: 0869 800 318 & 0965 800 318
Email: nhakhoathuyanh@gmail.com
Website: https://nhakhoathuyanh.com/
Fanpage: https://www.facebook.com/nhakhoathuyanh.official
Giờ mở cửa: 8:30 - 11:45, 13:30 - 18:00 (tất cả các ngày trong tuần)
Gọi điện
Nha khoa Thùy Anh 
Nha khoa Thùy Anh -
Nha khoa Paris
Gọi điệnNha khoa Paris là một trong những địa chỉ trồng răng Implant uy tín tại Hà Nội, nổi bật với đội ngũ bác sĩ giàu kinh nghiệm, trang thiết bị hiện đại và công nghệ tiên tiến theo tiêu chuẩn Pháp. Với định hướng phát triển hệ thống nha khoa thẩm mỹ đạt chuẩn Thẩm mỹ – An toàn – Hiện đại, nha khoa Paris đã điều trị thành công hàng ngàn ca cấy ghép Implant và nhận được sự tin tưởng từ đông đảo khách hàng.
Đội ngũ bác sĩ tại nha khoa Paris được đào tạo chuyên sâu, am hiểu kỹ thuật trồng răng Implant và phục hình thẩm mỹ. Nhờ đó, các ca điều trị luôn đảm bảo độ chính xác cao, an toàn và hiệu quả vượt trội. Khách hàng khi đến với nha khoa sẽ được tư vấn chi tiết, đưa ra giải pháp tối ưu về chi phí và kết quả lâu dài.
Điểm nổi bật của nha khoa Paris chính là việc ứng dụng công nghệ cấy ghép Implant 4S – giúp phục hình răng mất một cách toàn diện, bao gồm cả chân răng và thân răng. Công nghệ này rút ngắn thời gian tích hợp xương chỉ còn 3–4 tuần, mỗi trụ Implant chỉ cần khoảng 15 phút để hoàn tất, giảm đau, nhanh liền thương và bền chắc như răng thật.
Tất cả quy trình tại nha khoa Paris đều tuân thủ nghiêm ngặt theo tiêu chuẩn kỹ thuật của Hiệp hội Nha khoa Pháp (ADF). Với dịch vụ chuyên nghiệp, chế độ bảo hành rõ ràng và cam kết chất lượng, nha khoa Paris là lựa chọn hàng đầu khi bạn tìm kiếm địa chỉ trồng răng Implant tốt nhất tại Hà Nội.THÔNG TIN LIÊN HỆ:
Địa chỉ:- 12 Thái Thịnh, Đống Đa, Hà Nội
- 112 P. Bà Triệu, Nguyễn Du, Hoàn Kiếm, Hà Nội
Điện thoại: 1900 6900 & 0984 235 588Email: tuvan@nhakhoaparis.vn
Gọi điện
Website: https://nhakhoaparis.vn/
Fanpage: https://www.facebook.com/NhaKhoaParis
Giờ mở cửa: 08:00 – 18:00 (Thứ 2 - Chủ nhật)
Nha khoa Paris 
Nha khoa Paris -
Nha khoa Kim
Gọi điệnNha khoa Kim là địa chỉ cấy ghép implant an toàn, uy tín và được khách hàng đánh giá là địa chỉ cấy ghép implant tốt hiện nay. Trong năm 2023, Nha khoa Kim đã đạt được cột mốc quan trọng trong việc phát triển mô hình nha khoa kỹ thuật số, triển khai công nghệ trồng răng Implant Safest.
Công nghệ này sở hữu những ưu điểm vượt trội: thời gian đặt Implant nhanh chóng, chỉ 3 – 5 phút cho 1 trụ Implant; gần như không đau, không chảy máu, trường hợp mô nướu khách thuận lợi, bác sĩ sẽ không cần dùng dao, không rạch vạt. Vị trí Implant chính xác tuyệt đối như kế hoạch nhờ sử dụng công nghệ phần mềm mới; an toàn tối đa, lành thương nhanh, không sang chấn; hoàn tất răng sứ trên Implant chỉ 4 tuần và nếu xương thuận lợi có thể chỉ trong 24h – 48h, rất thuận tiện cho khách hàng không có nhiều thời gian.
Nha khoa Kim cũng thường xuyên nhập khẩu trực tiếp hàng trăm thiết bị, máy móc hiện đại từ những tập đoàn nha khoa uy tín trên thế giới, như: máy X Quang, Cone Beam CT 3D, máy scan trong miệng iTero, Trios, Robot định vị X-Guide… , để phục vụ tốt nhất cho khách hàng. Nếu bạn đang tìm kiếm địa chỉ trồng răng implant an toàn, chất lượng tại Hà Nội, đặc biệt là khu vực quận Đống Đa, nha khoa Kim là một lựa chọn tuyệt vời.
THÔNG TIN LIÊN HỆ:
Địa chỉ: 224 P. Xã Đàn, Trung Tự, Đống Đa, Hà NộiĐiện thoại: 1900 6899
Email: cskh@kimdental.vn
Gọi điện
Website: https://nhakhoakim.com/
Fanpage: https://www.facebook.com/NHAKHOAKIM
Giờ mở cửa: 09:00 – 19:30 (thứ 2 - chủ nhật)
Nha khoa Kim 
Nha khoa Kim -
Nha khoa VIET SMILE
Gọi điệnNếu bạn đang tìm kiếm địa chỉ cấy ghép Implant uy tín, thì hãy dành thời gian tìm hiểu về Nha khoa VIET SMILE - hệ thống nha khoa phục hình răng Implant uy tín tại Hà Nội nói riêng và tại Việt Nam nói chung.
Tại Nha khoa VIET SMILE, bạn sẽ được thực hiện cấy ghép implant trong môi trường vô khuẩn tuyệt đối tại phòng phẫu thuật riêng theo tiêu chuẩn quốc tế do bác sĩ nhiều năm kinh nghiệm thực hiện. Nhờ vậy, bạn hoàn toàn có thể yên tâm về độ an toàn và độ chính xác.
Việt Smile luôn kiểm soát chặt chẽ 3 vấn đề sau để đảm bảo kết quả implant tốt nhất:
- Kiểm soát vô khuẩn
- Kiểm soát chuyên môn
- Kiểm soát chất lượng implant – Hàng nhập khẩu 100% – Con tem được dán vào hồ sơ khách hàng để kiểm chứng bất kể khi nào
Vì sao bạn nên lựa chọn dịch vụ cấy ghép implant của Nha khoa VIET SMILE?
- Nha khoa Viet Smile đã cấy ghép thành công cho hàng ngàn bệnh nhân từ đơn giản đến phức tạp nhất.
- Quy tụ đội ngũ bác sĩ và nhân viên nhiệt tình, thân thiện và gần gũi. Bác sĩ thường cập nhật những xu hướng công nghệ cấy ghép Implant hiện đại nhất hiện nay. Tay nghề cao, nhẹ nhàng với kỹ thuật điều trị và chuyên môn hàng đầu cả nước.
- Nguyên vật liệu cấy ghép Implant có nguồn gốc và xuất xứ rõ ràng, chất lượng theo tiêu chuẩn hàng đầu.
- Cơ sở vật chất, trang thiết bị hiện đại, vô trùng sạch sẽ đảm bảo mang đến kết quả điều trị tốt nhất.
Ngoài ra, chi phí trồng răng implant tại Nha khoa VIET SMILE cũng được đông đảo khách hàng đánh giá là hợp lý so với chất lượng dịch vụ tối ưu.
Để có thể đạt được những ưu điểm khó tin này, việc cấy răng Implant cần được thực hiện đúng quy trình do bác sĩ có tay nghề lâu năm, chuyên nghiệp chính tay thực hiện. Và Nha khoa VIET SMILE luôn tự hào là một trong những nha khoa uy tín trong lĩnh vực cấy ghép Implant.
THÔNG TIN LIÊN HỆ:
Hệ thống Nha khoa VIET SMILE:
- Cơ sở Hà Nội:
- 229 Giáp Nhất, Thanh Xuân, Hà Nội
- 70 Trần Thái Tông, Dịch Vọng Hậu, Cầu Giấy, Hà Nội
- 397 - 399 Bạch Mai, Hai Bà Trưng, Hà Nội
- Cơ sở TP. HCM: Biệt thự liền kề 26-28 Đường 6, KĐT Hà Đô Centrosa - 118 đường 3/2, Phường 12, Quận 10, TP. HCM
- Cơ sở Lào Cai: 005 Cốc Lếu, TP. Lào Cai
Hotline miền Bắc: 0839 637 383 & 0343 637 383
Hotline miền Nam: 0329 637 383 & 0336 637 383
Hotline: 0796 111 888Email: cskh.nhakhoavietsmile@gmail.com
Website: https://nhakhoavietsmile.com/
Fanpage: https://www.facebook.com/nhakhoavietsmile229giapnhat/
Giờ mở cửa: 08:30 - 19:00 (Thứ 2,3,4,6,7,CN), 08:30 - 17:30 (Thứ 5)
Gọi điện
Nha khoa VIET SMILE 
Nha khoa VIET SMILE -
Nha khoa Quốc tế Việt Pháp
Gọi điệnTại Hà Nội, Nha khoa Quốc tế Việt Pháp là địa chỉ uy tín hàng đầu trong lĩnh vực cấy ghép răng Implant, nổi bật với việc ứng dụng công nghệ tiên tiến từ Pháp và đạt tiêu chuẩn quốc tế. Đây là lựa chọn tin cậy cho những ai đang tìm kiếm giải pháp phục hình răng mất an toàn, thẩm mỹ và hiệu quả lâu dài.
Với đội ngũ bác sĩ giàu kinh nghiệm, chuyên môn cao cùng nhiều năm hoạt động trong lĩnh vực nha khoa phục hình, Nha khoa Quốc tế Việt Pháp đã thực hiện thành công hàng ngàn ca trồng răng Implant. Nơi đây sử dụng 100% trụ Implant chính hãng được nhập khẩu từ các quốc gia nổi tiếng như Hàn Quốc, Mỹ, Pháp, Thụy Sĩ. Những trụ này đã được kiểm định nghiêm ngặt về chất lượng, giúp tích hợp nhanh với xương hàm, đảm bảo khả năng ăn nhai và độ bền vững lâu dài.
Điểm đặc biệt tại Việt Pháp là việc tiên phong ứng dụng công nghệ BIOHPP kết hợp định vị 3D, một trong những bước tiến vượt bậc trong nha khoa hiện đại. Công nghệ này giúp xác định chính xác vị trí cấy ghép, giảm thiểu xâm lấn và rút ngắn đáng kể thời gian lành thương, mang lại sự thoải mái tối đa cho người bệnh.
Ngoài ra, toàn bộ quy trình cấy ghép Implant đều được thực hiện trong môi trường vô trùng tuyệt đối, với hệ thống thiết bị hiện đại nhập khẩu từ Mỹ, Anh và Hàn Quốc. Điều này đảm bảo kết quả điều trị tối ưu, tính an toàn cao và nâng cao chất lượng phục vụ.
Nếu bạn đang tìm kiếm nơi trồng răng Implant tại Hà Nội, Nha khoa Quốc tế Việt Pháp chính là sự lựa chọn đáng tin cậy cho nụ cười khỏe đẹp và tự tin.THÔNG TIN LIÊN HỆ:
Địa chỉ:- 24 Trần Duy Hưng, Trung Hòa, Cầu Giấy, Hà Nội
- 29 Nguyễn Du, Phường Nguyễn Du, Quận Hai Bà Trưng, Hà Nội
- Số 6 Thái Hà, Trung Liệt, Đống Đa, Hà Nội
- 69 P. Trần Đăng Ninh, Dịch Vọng, Cầu Giấy, Hà Nội
- ...
Hotline: 0967 461 199Email: info.vietphapdental@gmail.comWebsite: https://nhakhoaquoctevietphap.vn/Fanpage: https://www.facebook.com/Nhakhoavietphapp18
TikTok: https://www.tiktok.com/@nhakhoaquocte.vietphap
Giờ mở cửa: 08:00 – 19:30 (Thứ 2 - Chủ nhật)
Gọi điện
Nha khoa Quốc tế Việt Pháp 
Kỹ thuật trồng răng implant











![Đơn vị thi công đá ốp lát uy tín nhất tại Hà Nội [Cập nhật mới nhất 2025]](/images/200px/cong-ty-cp-thuong-mai-san-xuat-va-xuat-nhap-khau-hung-thinh-1426232.jpg)

![Dịch vụ giặt thảm chuyên nghiệp nhất tại Hà Nội [Cập nhật mới nhất 2025]](/images/200px/f-293439.jpg)
![Công ty in ấn giá rẻ, uy tín nhất tại Hà Nội [Cập Nhật 2025]](/images/200px/cong-ty-in-an-gia-re-uy-tin-tai-ha-noi-cap-nhat-2025-1423043.jpg)



![Dịch vụ cưới hỏi trọn gói tại Hà Nội uy tín và chất lượng nhất [Cập nhật mới nhất 2025]](/images/200px/dich-vu-cuoi-hoi-tron-goi-tai-ha-noi-uy-tin-va-chat-luong-nhat-1428043.jpg)