Top 10 Địa chỉ niềng răng uy tín nhất Đà Lạt
Chắc chắn chúng ta phải tìm đến các bác sĩ chuyên khoa về răng - hàm - mặt để xử lý phải không nào? Nhưng các bạn đang băn khoăn không biết địa chỉ niềng răng ... xem thêm...nào uy tín, có chuyên môn kỹ thuật cao? Địa chỉ niềng răng nào nào vệ sinh sạch sẽ? Địa chỉ niềng răng nào đảm bảo uy tín chất lượng tốt nhất? Trong bài viết ngày Toplist.vn sẽ giúp bạn tìm hiểu thật kỹ lưỡng về những địa chỉ niềng răng uy tín nhất Đà Lạt.
-
Nha Khoa Daisy
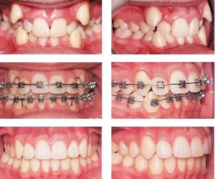
Gọi điệnNiềng răng là phương pháp sử dụng các dụng cụ nha khoa để điều chỉnh các khuyết điểm của răng như: Răng mọc lệch lạc, hô, thưa, móm,… Và sau đó mang lại cho bạn hàm răng thẩm mỹ hơn với nụ cười tỏa sáng và giúp cho gương mặt bạn trở nên hài hòa. Nha Khoa Daisy là đơn vị nha khoa uy tín được xây dựng và phát triển hướng đến mô hình trung tâm nha khoa kỹ thuật cao, chuyên sâu với các dịch vụ mũi nhọn như: niềng răng, bọc răng sứ thẩm mỹ, dán sứ Veneer, cấy ghép Implant, hàn trám răng... với hệ thống trang thiết bị công nghệ nha khoa hiện đại, phòng khám xây dựng theo tiêu chuẩn nha khoa Quốc tế và cơ sở vật chất đáp ứng đủ tiêu chí: sạch sẽ, sang trọng, thoải mái nhằm đáp ứng nhu cầu khách hàng khi đến thăm khám, thẩm mỹ với tâm lý thoải mái nhất.
Cùng với đó, Nha Khoa Daisy luôn chú trọng đến yếu tố vô trùng phòng ốc, dụng vụ y tế nhằm đảm bảo tính an toàn, hiệu quả và tránh lây nhiễm chéo cho khách hàng, đảm bảo sự an toàn cho khách hàng bằng việc mỗi ghế máy đều rộng rãi, khách hàng tiểu phẫu sẽ được thực hiện ở phòng riêng biệt và mỗi khách hàng là một bộ khoan, bộ dụng cụ hỗ trợ điều trị riêng biệt.
Các phương pháp niềng răng tại Nha Khoa Daisy ở Đà Lạt được đánh giá cao:
- Niềng răng mắc cài: Niềng răng mắc cài là phương pháp chỉnh nha truyền thống, gắn cố định hệ thống mắc cài và dây cung lên răng, tạo lực chỉnh nha ổn định và dàn trải, dịch chuyển răng về đúng vị trí. Niềng răng mắc cài được ứng dụng rất phổ biến và được đánh giá cao về hiệu quả, đặc biệt trong trong việc xử lý các ca niềng răng khó. Niềng răng mắc cài sử dụng nhiều loại mắc cài khác nhau, như mắc cài kim loại, mắc cài sứ, mắc cài tự buộc, mắc cài mặt lưỡi.
- Niềng răng thẩm mỹ không mắc cài: Phương pháp niềng răng không mắc cài sử dụng các khay niềng bằng nhựa dẻo trong suốt, ôm khít vào răng, tạo lực dịch chuyển và sắp xếp lại vị trí các răng lệch lạc, hô vẩu. Các khay niềng này còn có thể tháo lắp dễ dàng trong quá trình sử dụng nên rất thuận tiện khi ăn uống, vệ sinh răng miệng. Nếu đang tìm kiếm một phương pháp niềng răng mang tính thẩm mỹ cao thì niềng răng không mắc cài sẽ là sự lựa chọn tối ưu cho bạn. Hiện có 2 kỹ thuật niềng răng không mắc cài là niềng răng Invisalign và niềng răng Clear Aligner, trong đó niềng răng Invisalign được khách hàng đánh giá cao hơn cả. Bên cạnh nhiều ưu điểm, song nhược điểm chính là thời gian niềng có thể chậm hơn các phương pháp niềng răng mắc cài khác và chi phí niềng răng trong suốt cũng cao hơn.
- Niềng răng khí cụ tháo lắp: Phương pháp niềng răng thẩm mỹ nhưng niềng răng với khí cụ tháo lắp không được áp dụng phổ biến. Phương pháp này thường được chỉ định khi chỉnh nha duy trì sau thời gian đeo niềng hoặc niềng răng cho trẻ em trong giai đoạn từ 8 – 12 tuổi.
Quy trình niềng răng thẩm mỹ đúng quy chuẩn tại Nha Khoa Daisy như sau:
- Bước 1: Tư vấn và thăm khám: Bác sĩ sẽ kiểm tra tình trạng sức khỏe răng miệng, đánh giá mức độ tình trạng khuyết điểm của răng (lệch lạc, khấp khểnh, hô, móm, v.v…). Và xử lý các vấn đề về răng miệng như viêm nướu, viêm nha chu nếu có.
- Bước 2: Chụp X-Quang, lấy dấu vân hàm: Dựa vào hình ảnh chụp được bác sĩ sẽ đưa ra phác đồ hỗ trợ điều trị chi tiết cho từng giai đoạn cụ thể của răng. Chụp X Quang răng và lấy dấu vân hàm trước khi niềng
- Bước 3: Thiết kế mắc cài phù hợp. Dựa vào dấu hàm thu được, bác sĩ sẽ thiết kế mắc cài phù hợp với đặc điểm tính chất và chi phí của mỗi khách hàng. Thiết kế mắc cài niềng răng phù hợp cho từng khách hàng.
- Bước 4: Đeo mắc cài vào răng: Mắc cài sẽ được dán lên răng bằng một loại keo nha khoa chuyên dụng, đảm bảo tính bám dính và an toàn khi đeo. Cùng với các khí cụ hỗ trợ sẽ được gắn sau một vài tuần nếu thực sự cần thiết.
- Bước 5: Tái khám: Khách hàng niềng răng thẩm mỹ sẽ có lịch trình tái khám cụ thể, lúc này bác sĩ sẽ chỉnh lại mắc cài và dây cung sao cho hợp lý. Quá trình đeo niềng có thể kéo dài 2 – 3 năm, vì vậy khách hàng cần phải theo đúng lịch trình tái khám để đạt được kết quả tốt nhất.
- Bước 6: Tháo niềng răng: Sau khi khi tháo mắc cài, để răng và xương hàm ổn định tại 1 vị trí mới, ngăn ngừa xô lệch về vị trí cũ, khách hàng cần tiếp tục đeo hàm duy trì từ 6 tháng đến 1 năm.
Tại sao khách hàng nên chọn Nha Khoa Daisy để niềng răng?
- Bác sĩ dày dặn kinh nghiệm, chuyên môn tay nghề cao đem lại kết quả điều trị tốt nhất cho khách hàng.
- Cơ sở vật chất, trang thiết bị hiện đại.
- Cam kết đem đến cho khách hàng kết quả điều trị hài lòng nhất và chất lượng dịch vụ phục vụ tốt nhất.
- Khách hàng khi đến với Nha khoa Daisy sử dụng dịch vụ niềng răng đều được các bác sĩ nha khoa thăm khám và đưa ra lộ trình niềng răng phù hợp. Cho nên khách hàng có thể yên tâm niềng răng tại đây với phương pháp phù hợp với điều kiện và mang lại hiệu quả tối ưu nhất cùng chi phí hợp lý.
THÔNG TIN LIÊN HỆ:
Địa chỉ:
- 140 Hai Bà Trưng, P.6, Đà Lạt, Lâm Đồng
- Số 81 Phan Đình Phùng, P.1, Đà Lạt, Lâm Đồng
Email: info@nhakhoadaisy.vn
Website: https://nhakhoadaisy.vn/
Facebook: https://www.facebook.com/nhakhoadaisy.dalat Gọi điện
Nha Khoa Daisy 
Nha Khoa Daisy
-
Nha Khoa Sài Gòn Smile
Gọi điệnNha Khoa Sài Gòn Smile là một trong những phòng khám nha uy tín cung cấp gói niềng răng - chỉnh nha chất lượng được nhiều khách hàng tin tưởng trải nghiệm tại Đà Lạt với đội ngũ bác sĩ có tâm, chuyên môn đáp ứng đầy đủ nhu cầu ngày càng cao hiện nay của mỗi một khách hàng với sự đầu tư về quy trình, máy móc, đội ngũ chăm sóc, công nghệ áp dụng... đưa đến cho khách hàng địa điểm uy tín, an toàn với dịch vụ hoàn thiện nhất. Đến với Nha Khoa Sài Gòn Smile khách hàng sẽ được bác sĩ kiểm tra tình trạng sức khỏe răng miệng và tiến hành điều trị dứt điểm nếu phát hiện dấu hiệu không tốt cho răng rồi sau đó sẽ tiến hành thực hiện các bước cơ bản hỗ trợ niềng răng đúng quy trình.
Quy trình niềng răng tại Nha Khoa Sài Gòn Smile gồm các bước sau:
- Khám và tư vấn tổng quát
- Lập phác đồ điều trị chi tiết
- Điều trị tổng quát trước khi niềng răng
- Tiến hàng niềng răng
- Kết thúc điều trị - duy trì kết quả
- Chăm sóc khách hàng - hỗ trợ 24/7 trong suốt quá trình niềng răng
Nha Khoa Sài Gòn Smile cung cấp dịch vụ niềng răng với cam kết:
- Nghiên cứu và điều trị chuyên sâu về niềng răng.
- Đội ngũ y bác sĩ được đào tạo chuyên sâu về niềng răng.
- Trang bị máy X - Quang Sirona tốt nhất thế giới, giúp chẩn đoán chính xác và rút ngắn tối đa thời gian niềng răng.
- Chịu trách nhiệm 100% hiệu quả niềng răng như đã tư vấn.
- Mức phí ưu đãi nhất.
Để khách hàng có cho mình nụ cười tự tin, tươi sáng nhất Nha Khoa Sài Gòn Smile luôn đảm bảo yếu tố về cơ sở vật chất hiện đại, không gian thiết kế rộng rãi, được bố trí khoa học đem đến cho khách hàng cảm giác thoải mái nhất khi thăm khám và điều trị, luôn đầu tư trang thiết bị hiện đại được nhập khẩu từ những nước có nền y tế phát triển đảm bảo đáp ứng được những phương pháp và kỹ thuật điều trị tiên tiến nhất trên thế giới cùng quy trình vô trùng tại nha khoa luôn được tuân thủ nghiêm ngặt theo tiêu chuẩn quốc tế, những dụng cụ và các trang thiết bị đều được hấp ở lò và được xử lý nghiêm ngặt bằng hóa chất theo tiêu chuẩn an toàn.
THÔNG TIN LIÊN HỆ
Địa chỉ: 20A Hoàng Văn Thụ, Phường 4, Đà Lạt, Đà Lạt
Điện thoại: 0916 436 279 & 0962 863 457
Fanpage: www.facebook.com/SGSmileclinic/
Gọi điện
Nha Khoa Sài Gòn Smile 
Nha Khoa Sài Gòn Smile -
Nha khoa Tâm Sài Gòn - Nha khoa Đà Lạt
Gọi điệnNằm ở trung tâm Thành phố Đà Lạt, Nha Khoa Tâm Sài Gòn đã làm hài lòng hàng ngàn khách hàng trong và ngoài nước với chất lượng dịch vụ tuyệt vời cùng mức giá hợp lý. Nha khoa Tâm Sài Gòn áp dụng những công nghệ nha khoa mới nhất, hệ thống trang thiết bị chuẩn quốc tế và tuyển chọn đội ngũ y bác sĩ dày dặn kinh nghiệm. Niềm tin và sự hài lòng từ khách hàng cả trong và ngoài nước chính là động lực để nha khoa Tâm Sài Gòn ngày càng lớn mạnh hơn.
Nha khoa Tâm Sài Gòn tự hào là một trung tâm nha khoa kỹ thuật cao được thành lập bởi một đội ngũ y bác sĩ có kinh nghiệm và nhiệt huyết với:
- Hệ thống trang thiết bị hiện đại, đầy đủ phương tiện chuẩn đoán và điều trị
- Hệ thống vô trùng tối ưu, môi trường sạch sẽ tuyệt đối đảm bảo an toàn sức khỏe cho bệnh nhân.
Với sự chuyên nghiệp và tận tình của mình, Nha khoa Tâm Sài Gòn cam kết mang đến cho khách hàng nụ cười đẹp từ trong ra ngoài với nhiều dịch vụ:
- Nha khoa laser
- Xạ trị kỹ thuật số
- Nha khoa kỹ thuật số
- Kính hiển vi nha khoa
- Chẩn đoán và điều trị khi ngủ (Sleep apnoea diagnosis and treatment)
- Nha khoa thẩm mỹ (veneers sứ và phục hồi).
Quy trình thực hiện 4 bước đơn giản của công nghệ chỉnh nha trong suốt:
- Bước 1: Chụp cắt lớp xương hàm, lấy dấu răng tại phòng nha. Bác sĩ khám răng và chỉ định.
- Bước 2: Bác sỹ Straight-T tại Mỹ đề xuất lộ trình chỉnh nha. Bệnh nhân xem hình ảnh 3D mô phỏng lộ trình chỉnh nha.
- Bước 3: Bác sỹ trình bày và tư vấn lộ trình chỉnh nha bằng hình ảnh 3D thiết kế riêng cho bệnh nhân. Bệnh nhân cân nhắc chấp thuận lộ trình.
- Bước 4: Bác sỹ gắn neo răng và bắt đầu mang khay chỉnh nha Straight-T. Bệnh nhân tái khám định kỳ trung bình 2 tuần/ lần hoặc lâu hơn tuỳ trường hợp.
Nha khoa Tâm Sài Gòn luôn lấy “y đức” làm nền tảng hình thành một phòng khám có chiều sâu về chuyên môn cũng như thái độ dịch vụ tốt nhất. Tâm Sài Gòn chọn chất lượng điều trị làm gốc, bảo tồn răng thật của bệnh nhân làm tiên đề để điều trị.
THÔNG TIN LIÊN HỆ
Địa chỉ:
- 7 Trần Quý Cáp, Phường 9, Đà Lạt, Lâm Đồng
- 117 Đường 3/2, Phường 1, Đà Lạt, Lâm Đồng
Website: https://nhakhoadalat.com/
Fanpage: www.facebook.com/nhakhoatamsaigon/ Gọi điện
Đội ngũ bác sỹ, kỹ thuật viên của Nha khoa Tâm Sài Gòn 
Nha khoa Tâm Sài Gòn - Nha khoa Đà Lạt -
Nha khoa nụ cười Đà Lạt
Gọi điệnVới phương châm đặt sự hài lòng của khách lên hàng đầu, lấy nụ cười của khách hàng làm mục tiêu phát triển. Nha Khoa Nụ Cười Đà Lạt đã ra đời và đáp ứng được mọi yêu cầu dù là khó khăn và đòi hỏi kỷ thuật cao nhất của khách hàng.
Vì sao bạn nên sử dụng dịch vụ niềng răng của Nha khoa Nụ cười Đà Lạt?
- Là một trong số ít phòng khám nha khoa luôn trong tâm thế đặt lợi ích của khách hàng lên hàng đầu;
- Cả nhân viên y bác sĩ đều không ngừng nỗ lực để hoàn thiện chuyên môn tay nghề;
- Cơ sở vật chất trang thiết bị tại đây đều được sắm mới và tiên tiến nhất;
- Mọi cá nhân trong đội ngũ y bác sĩ tại đây đều là những chuyên gia trong lĩnh vực này. Họ được đào tạo bài bản, chuyên môn tay nghề cao, giúp bạn thực hiện được mong muốn của mình nhanh nhất;
- Luôn luôn biết cách nâng cao tay nghề qua những buổi tập huấn, đào tạo chuyên sâu ở thành phố lớn.
Nha khoa nụ cười Đà Lạt chuyên Veneer Mặt dán sứ, răng sứ thẫm mỹ, chỉnh nha hô móm, implant, điều trị nha chu, nhổ tiểu phẫu răng khôn, điều trị tủy, cạo vôi răng bằng máy siêu âm, trám răng, răng trẻ em, nha khoa thẫm mỹ, nha khoa tổng quát, nha khoa phục hồi... Nha Khoa Nụ Cười đã dần dần trở thành một trong những địa chỉ niềng răng uy tín nhất Đà Lạt hiện nay. Giúp cho rất nhiều người bớt tự ti và bản thân, giúp nụ cười của khách hàng trở nên đẹp hơn, tự tin hơn.
THÔNG TIN LIÊN HỆ
Địa chỉ: 46 Xô Viết Nghệ Tĩnh, Phường 8, Đà Lạt, Lâm Đồng
Điện thoại: 0907 202 247
Website: https://nhakhoanucuoidalat.com/
Fanpage: www.facebook.com/NhaKhoaNuCuoiDalat/
Gọi điện
Nha khoa Nụ cười Đà Lạt 
Nha khoa Nụ cười Đà Lạt -
Nha Khoa Tenshi
Gọi điệnNha Khoa Tenshi là một trong những địa chỉ chuyên cung cấp dịch vụ niềng răng chất lượng và uy tín tại Đà Lạt với đội ngũ y bác sĩ chuyên nghiệp, không ngừng học hỏi trau dồi kinh nghiệm, sử dụng trang thiết bị hiện đại, áp dụng công nghệ thẩm mỹ tiên tiến cùng bước chẩn đoán và thực hiện điều trị đảm bảo theo tiêu chuẩn quốc tế đem đến cho từng khách hàng gói dịch vụ hoàn thiện và mức giá tốt nhất.
Quy trình niềng răng tại Nha Khoa Tenshi như sau:
- Thăm khám và chụp phim: Bác sĩ khám tổng quát, sau đó chụp phim để xem xét và đánh giá toàn diện tình trạng răng miệng của khách hàng.
- Phân tích và lên pháp đồ điều trị: Dựa vào khám và phim chụp bác sĩ sẽ đánh giá tình trạng răng miệng, phân tích và đưa ra lộ trình điều trị chi tiết phù hợp tình trạng và nhu cầu của khách hàng.
- Lấy mẫu và thiết kế mắc cài.
- Gắn mắc cài.
- Theo dõi chỉnh nha: Bác sĩ kiểm tra tình trạng răng của khách hàng, điều chỉnh theo phác đồ điều trị.
- Tháo mắc cài sau khi hoàn thiện quá tình niềng răng.
Khi đến niềng răng tại Nha Khoa Tenshi khách hàng sẽ được bác sĩ tiến hành thăm khám tổng quát răng miệng, chụp phim kỹ thuật số nhằm xác định rõ nguyên nhân bệnh lý răng miệng, đưa ra liệu trình thẩm mỹ răng phù hợp với tình trạng từng khách hàng và cuối cùng các bác sĩ sẽ tiến hành phương pháp niềng răng hợp lý nhận được sự chấp thuận của khách hàng giúp bạn sở hữu nhanh chóng cho mình nụ cười tươi sáng với hàm răng đều, đẹp nhất.
THÔNG TIN LIÊN HỆ
Địa chỉ: 51B Phan Đình Phùng, Phường 1, Đà Lạt, Lâm Đồng
Điện thoại: 0939 365 338
Website: https://tenshi.vn/
Fanpage: www.facebook.com/Nhakhoatenshi/
Gọi điện
Nha Khoa Tenshi 
Nha Khoa Tenshi -
Nha khoa Sài Gòn Ne3
Gọi điệnNha khoa Sài Gòn New là địa chỉ có nhiều năm kinh nghiệm hoạt động trong lĩnh vực nha khoa trong đó có dịch vụ niềng răng thẩm mỹ uy tín tại Đà Lạt với đội ngũ nha khoa tay nghề cao với trên 10 năm kinh nghiệm, luôn sử dụng những trang thiết bị cao cấp, hiện đại bậc nhất trong nha khoa và có đầy đủ các chuyên viên về nha khoa cùng ưu tiên hàng đầu sử dụng vật liệu cao cấp, an toàn cho khách hàng.
Quy trình niềng răng tại Nha khoa Sài Gòn New như sau:
- Khám tư vấn trực tiếp trên cung miệng và giải đáp tất cả những thắc mắc của bạn về quá trình niềng răng.
- Lập kế hoạch chỉnh nha chi tiết đến với khách hàng.
- Trao đổi và giải thích cùng bệnh nhân để hiểu rõ về kế hoạch chỉnh nha - dự kiến thời gian hoàn thành - chi phí.
- Vệ sinh răng miệng, điều trị các vấn đề bệnh lý và gắn mắc cài.
- Khách hàng khám định kỳ theo chỉ định của bác sĩ.
- Sau khi răng đều đặn và chuẩn khớp cắn bác sĩ tiến hành tháo mắc cài, vệ sinh răng miệng và lấy dấu để làm khay duy trì.
- Chăm sóc sức khỏe răng miệng định kỳ 6 tháng/ 1 lần để đảm bảo luôn có nụ cười đẹp với hàm răng chắc khỏe.
Khách hàng trải nghiệm dịch vụ niềng răng - chỉnh nha tại Nha khoa Sài Gòn New với cam kết:
- Có được hàm răng đều đẹp, cải thiện diện mạo khuôn mặt.
- Khắc phục được răng bị hô, móm, răng mọc lệch, sai vị trí, răng thưa.
- Điều chỉnh khớp cắn, đảm bảo chức năng ăn nhai.
- Tác dụng trên răng thật, đảm bảo sự an toàn, khỏe mạnh trong tương lai.
- Giảm áp lực cho quai hàm (khớp thái dương hàm).
Thêm vào đó, Nha khoa Sài Gòn New luôn cẩn thận trong từng thao tác để hạn chế làm khách hàng bị đau, chú trọng vô trùng dụng cụ, trang thiết bị nha khoa nhằm mang đến cho mỗi khách hàng dịch vụ nha khoa an toàn và đạt chuẩn nhất cùng cam kết về những chính sách bảo hành sau điều trị tối ưu nhất.
THÔNG TIN LIÊN HỆ
Địa chỉ:
- 07 Chi Lăng, Phường 9, Đà Lạt, Lâm Đồng
- 72 Bùi Thị Xuân, Phường 2, Đà Lạt, Lâm Đồng
Điện thoại: 0902 625 379 & 0825 252 566
Email: nhakhoasgnew@gmail.com
Website: https://nhakhoasgnew.110.vn/
Gọi điện
Nha khoa Sài Gòn New 
Nha khoa Sài Gòn New -
Nha khoa Dr. Smile Đà Lạt
Gọi điệnĐội ngũ bác sỹ, trợ thủ của Nha khoa Dr.Smile Đà Lạt mong muốn và trân quý cơ hội được phục vụ quý khách để có thể cùng quý khách khắc phục mọi trình trạng bệnh lý mà quý khách đang mắc phải, bằng những kỹ thuật mới nhất, hiệu quả nhất. Triết lý của Dr.Smile vẫn luôn là xinh xắn và thú vị trong từng loại hình điều trị dành cho mọi khách hàng đến với phòng khám.
Vì sao bạn nên sử dụng dịch vụ niềng răng của Nha khoa Dr. Smile Đà Lạt?
- Nơi này có một đội ngũ y bác sĩ được đào tạo chuyên khoa răng hàm mặt tại các trường Đại học hàng đầu tại Việt Nam.
- Là nơi tập hợp những bác sỹ tâm huyết, kinh nghiệm làm việc chuyên sâu, tay nghề cao.
- Phòng khám nha khoa đà lạt này luôn luôn để ý đến từng chi tiết nhỏ giúp khách hàng hài lòng nhất.
- Nhân viên y bác sĩ đều có phong cách phục vụ chu đáo, nhiệt tình nhất.
- Sẵn sàng tư vấn và giải đáp những thắc mắc của khách hàng. Giúp khách hàng lựa chọn được các sản phẩm thay thế tốt nhất, chất lượng nhất.
Nha khoa Dr. Smile Đà Lạt là nơi áp dụng công nghệ cấy ghép răng implant, chỉnh nha, răng sứ thẩm mỹ nổi tiếng tại Đà Lạt. Một điều đặc biệt là nơi này luôn đặt chữ Tín lên hàng đầu, luôn tuân thủ các khâu xử lý vệ sinh vô trùng trước khi đưa vào phẫu thuật.
THÔNG TIN LIÊN HỆ
Địa chỉ: Lô 56 KQH Phan Đình Phùng, Nguyễn Công Trứ, Phường 2, TP. Đà Lạt, Lâm Đồng
Điện thoại: 026 3398 2912 & 0913 982 912
Email: nhakhoadrsmile@gmail.com
Fanpage: www.facebook.com/nhakhoadrsmile
Gọi điện
Niềng răng tại Nha khoa Dr. Smile 
Nha khoa Dr. Smile Đà Lạt -
Nha Khoa Tâm Thế Đà Lạt
Gọi điệnNha Khoa Tâm Thế Đà Lạt là một trong những địa chỉ thăm khám nha khoa chất lượng tại Đà Lạt được nhiều người tin tưởng lựa chọn. Với sứ mệnh mang đến hàm răng hoàn mỹ, nụ cười tự tin, đơn vị tự hào luôn mang đến cho khách hàng dịch vụ chăm sóc tốt nhất. Và tại đây thực hiện công tác niềng răng vô cùng chất lượng.
Niềng răng thẩm mỹ và bọc răng sứ là phương pháp khắc phục tình trạng răng hô, vẩu, răng mọc lệch lạc,.. được nhiều người sử dụng nhất hiện nay. Mỗi phương pháp đều có ưu, nhược điểm riêng của nó. Nhưng xét về tính thẩm mỹ và hiệu quả thì niềng răng vẫn là giải pháp khắc phục tình trạng răng hô, vẩu, lệch lạc hiệu quả hơn. Bởi vì, niềng răng sẽ giúp răng đều, đẹp và đặc biệt là bảo tồn răng thật tốt nhất.
Vì sao nên lựa chọn niềng răng tại Nha khoa Tâm Thế Đà Lạt:
- Dịch vụ đa dạng, chi phí hợp lý.
- Đội ngũ y bác sĩ tận tâm, có nhiều kinh nghiệm. Tận tình trong việc tư vấn cho khách hàng.
- Phòng khám được trang bị đầy đủ cơ sở vật chất hiện đại, phục vụ tốt nhất cho khách hàng.
Thế nên, nếu bạn đang tìm kiếm địa chỉ nha khoa chuẩn chỉnh, an toàn cho việc niềng răng của bản thân thì hãy liên hệ ngay với đơn vị. Nha Khoa Tâm Thế chắc chắn sẽ mang đến cho bạn những dịch vụ nha khoa tốt nhất.
THÔNG TIN LIÊN HỆ:Gọi điện
Địa chỉ: Số 85 Hai Bà Trưng, Phường 6, Đà Lạt, Lâm Đồng
Điện thoại: 0973 252 660
Email: nhakhoatamthedalat@gmail.com
Website: http://nhakhoatamthe.vn/
Fanpage: www.facebook.com/nhakhoathammytamthe?mibextid=ZbWKwL
Nha Khoa Tâm Thế Đà Lạt 
Nha Khoa Tâm Thế Đà Lạt -
Nha khoa Quốc tế Link
Gọi điệnNha khoa Quốc tế Link là một trong những địa chỉ chuyên cung cấp các dịch vụ nha khoa điều trị, phòng ngừa và các dịch vụ nha khoa thẩm mỹ trong đó có dịch vụ niềng răng chuyên nghiệp tại Đà Lạt với đội ngũ bác sĩ hàng đầu, tự tin có thể xử lý và khắc phục nhiều trường hợp từ đơn giản đến phức tạp, luôn trao đổi với khách hàng của mình về hiệu quả điều trị cũng như các rủi ro có thể xảy đến một cách thành thật ngay sau khi thăm khám tổng quát, từ đó khách hàng có được sự chuẩn bị tốt về tinh thần để đưa ra được những quyết định sáng suốt nhất. Cùng với đó, Nha khoa Quốc tế Link chú trọng đầu tư trang thiết bị bởi tất cả đều được nhập khẩu từ Châu Âu. Bên cạnh đó, công nghệ hay máy móc cũng thường xuyên được Nha khoa Quốc tế Link nâng cấp để đảm bảo tiêu chí hiện đại, an toàn và thẩm mỹ tối đa hỗ trợ bác sĩ rất nhiều trong quá trình khám, điều trị đồng thời giảm thiểu sự đau đớn cho từng khách hàng và tất cả các công đoạn vận hành - sử dụng máy móc đều được chuyên gia nước ngoài trực tiếp hướng dẫn và đào tạo để đảm bảo quy trình nghiêm ngặt và mang lại hiệu quả điều trị cao nhất.
Nha khoa Quốc tế Link cung cấp dịch vụ niềng răng với ưu thế:
- Bác sỹ nha khoa bệnh lý chuyên sâu với kinh nghiệm điều trị thành công nhiều trường hợp niềng răng thẩm mỹ.
- Đa dạng phương pháp niềng răng phù hợp với mọi chi phí và yêu cầu của khách hàng.
- Hệ thống thiết bị, vật liệu tiêu chuẩn Châu Âu.
- Nhập khẩu chính hãng các hệ thống sản phẩm nha khoa.
- Vật liệu và dụng cụ phòng khám đều được vệ sinh sạch sẽ và bảo quản trong môi trường vô trùng.
Các phương pháp niềng răng tại Nha khoa Quốc tế Link gồm:
- Niềng răng mắc cài kim loại
- Niềng răng mắc cài sứ
- Niềng răng mặt trong
- Niềng răng Invisalign
Đặc biệt, Nha khoa Quốc tế Link trang bị đầy đủ các thiết bị vô trùng cao cấp và hiện đại bậc nhất để đảm bảo an toàn tối đa cho khách hàng như: máy ngâm khử trùng sử dụng dòng điện xoay chiều tạo dao động siêu âm, lò hấp vô trùng lập trình tự động Auto Clave - tiệt trùng dưới áp suất và nhiệt độ cao trong hơn 1h, máy đóng gói vô trùng, tủ bảo quản vô trùng dụng cụ Pro sau đóng gói dưới ánh sáng cực tím… đảm bảo đúng quy trình thăm khám và điều trị bệnh an toàn nhất.
THÔNG TIN LIÊN HỆ
Địa chỉ: 02 Phạm Ngọc Thạch, Phường 6, Đà Lạt, Lâm Đồng
Điện thoại: 0815 163 355
Fanpage: www.facebook.com/NhakhoaLink/
Website: https://nhakhoalink.vn/
Gọi điện
Nha khoa Quốc tế Link 
Nha khoa Quốc tế Link -
Nha Khoa Đinh Gia Đà Lạt
Gọi điệnTại Đà Lạt xuất hiện rất nhiều phòng khám cung cấp dịch vụ nha khoa điều trị và nha khoa thẩm mỹ. Thế nên, bạn sẽ rất băn khoăn trong việc lựa chọn nha khoa cho việc niềng răng của bản thân. Một trong những địa chỉ tin cậy chất lượng tại Đà Lạt mà bạn nên lựa chọn đó là Nha Khoa Đinh Gia Đà Lạt. Khi đến đây bạn sẽ được tư vấn tận tâm và giúp chọn ra lộ trình niềm răng phù hợp với bản thân.
Tại đây, các dịch vụ nha khoa cũng rất đa dạng, bao gồm: niềng răng, chỉnh nha, nhổ răng, trồng răng sứ, cấy ghép implant, trám răng, dán sứ veneer… được thực hiện theo đúng quy trình, đảm bảo an toàn mang đến cho khách hàng một nụ cười tự tin rạng rỡ.
Khi niềng răng, chỉnh nha tại Nha Khoa Đinh Gia Đà Lạt bạn sẽ được tư vấn và nắn chỉnh răng bởi đội ngũ chuyên giq chất lượng. Đội ngũ y bác sĩ luôn cố gắng học tập trau dồi kinh nghiệm để mang đến chất lượng tốt nhất.
THÔNG TIN LIÊN HỆ:Gọi điện
Địa chỉ: 142 Ngô Quyền, Phường 6, TP. Đà Lạt, Lâm Đồng
Điện thoại: 0777 322 286
Fanpage: www.facebook.com/nhakhoadinhgiangoquyendalat
Nha Khoa Đinh Gia Đà Lạt 
Nha Khoa Đinh Gia Đà Lạt
![Địa chỉ niềng răng uy tín nhất tại Đà Nẵng [cập nhật mới 2025]](/images/200px/dia-chi-nieng-rang-uy-tin-nhat-da-nang-283975.jpg)












