Top 8 Địa chỉ tẩy trắng răng uy tín nhất tỉnh Bắc Giang
Răng ố vàng là hiện tượng mà nhiều người mắc phải. Sau đây, hãy cùng Toplist tìm hiểu những địa chỉ tẩy trắng răng uy tín nhất tỉnh Bắc Giang nhé.... xem thêm...
-
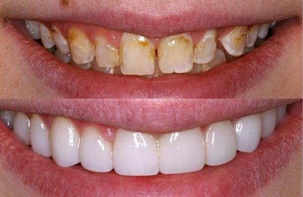
Nha Khoa Hùng Cường
Gọi điệnNha khoa Hùng Cường ra đời vào năm 2006. Với đội ngũ bác sĩ dày dạn kinh nghiệm, trang thiết bị tân tiến và công nghệ hiện đại, nha khoa Hùng Cường và đang có những bước tiến vượt bậc trên con đường trở thành Nha khoa về thẩm mỹ theo tiêu chuẩn châu Âu tại Việt Nam. Thấu hiểu tầm quan trọng của sức khỏe răng miệng và nụ cười đẹp khởi nguồn cho cuộc sống, Nha khoa Hùng Cường lựa chọn trở thành người tiên phong trong việc đưa ứng dụng công nghệ tân tiến châu âu về với Việt Nam. Định hướng của Hùng Cường là phát triển theo tiêu chuẩn Thẩm mỹ – An toàn – Hiện đại cho quý khách hàng.
Nha Khoa Hùng Cường sở hữu dịch vụ tẩy trắng răng sử dụng đèn LED đang rất được khách hàng tin dùng. Tẩy trắng răng bằng cách sử dụng đèn LED là bước tiến mới về công nghệ. Đèn LED sẽ tạo ra ánh sáng bằng hiệu ứng cơ lượng tử, giúp giảm thiểu lượng nhiệt tỏa ra. Đồng thời kết hợp với thuốc Tẩy trắng răng thế hệ mới tạo môi trường hữu hiệu để “đánh bay” sắc tố trên răng. Tính ưu việt của tẩy trắng răng công nghệ LED là sự kết hợp của nhiều yếu tố như: lượng nhiệt phát ra thấp, thuốc tẩy trắng chỉ hoạt động trên bề mặt của răng mà không ảnh hưởng tới nướu hay thấm sâu vào bên trong. Vì thế phương pháp này không gây cảm giác ê buốt.Từ khi ra đời đến nay, nhờ tính năng ưu việt và hiệu quả nổi bật. Phương pháp tẩy trắng bằng công nghệ LED nhận được sự quan tâm và tin dùng của hàng tỷ người trên thế giới nói chung và hàng triệu người tại Việt Nam nói riêng. Hãy đến ngay với Nha Khoa Hùng Cường để sở hữu hàm răng trắng như ý nhé!
THÔNG TIN LIÊN HỆ:
Địa chỉ: 460 Xương Giang, Ngô Quyền, TP. Bắc Giang, Bắc Giang
Điện thoại: 0375 373 555 & 0375 377 555
Email: driverhungcuong@gmail.com
Website: nhakhoahungcuong.com.vn/
Fanpage: www.facebook.com/nhakhoahungcuong.com.vn/
Gọi điện
Giờ mở cửa: 08:00 – 18:30
Nha Khoa Hùng Cường 
Nha Khoa Hùng Cường
-
Nha Khoa Quốc Tế An Bình
Gọi điệnNha khoa Quốc tế An Bình là hệ thống phòng khám chuyên niềng răng, được khách hàng đánh giá cao ở tất cả các cơ sở Hà Nội, Bắc Giang, Bắc Ninh, mang đến cho khách hàng những dịch vụ chăm sóc răng miệng vượt trội như: Thẩm mỹ răng sứ công nghệ cao, tẩy trắng răng, cấy ghép Implant nha khoa, nắn chỉnh răng lệch lạc và điều trị các bệnh răng miệng khác. Với đội ngũ y bác sĩ, chuyên gia giàu kinh nghiệm, tận tình và chu đáo, cùng với hệ thống trang thiết bị hiện đại nhất, Nha khoa Quốc tế An Bình đảm bảo sẽ giúp bạn tìm được nụ cười tự tin như mong muốn.
Nguồn gốc thuốc tẩy trắng được sử dụng tại Nha Khoa Quốc Tế An Bình đều được kiểm định bởi tổ chức Y Tế thế giới & được sử dụng không có dấu hiệu của dị ứng hay biến chứng nào. Tất cả khách hàng đã tẩy trắng răng tại nha khoa Thanh Tâm đã xác nhận không có tác hại, kích thích hay tác dụng phụ trên cơ thể.
Các bạn sẽ không bị ê buốt răng khi tẩy trắng. Đến với Nha Khoa Quốc Tế An Bình, các bạn sẽ được đón tiếp ân cần, tư vấn tận tình, phục vụ chuyên nghiệp. Trung tâm nha khoa mong muốn đem lại hàm răng khỏe, đẹp giúp bạn luôn rạng rỡ mọi lúc mọi nơi.
THÔNG TIN LIÊN HỆ:
Địa chỉ:- Cơ sở 2: 574 - 576 Xương Giang, TP. Bắc Giang, Bắc Giang - 0386 045 045
- Cơ sở 3: 571 - 573 Hoàng Văn Thái, Hiệp Hòa, Bắc Giang - 0386 107 107
Điện thoại: 020 4626 4666 & 0904 807 807
Email: linh33a@gmail.comWebsite: nhakhoaanbinh.com/
Fanpage: www.facebook.com/NhaKhoaQuocTeAnBinh
Giờ mở cửa: 08:00 – 20:00
Nha Khoa Quốc Tế An Bình 
Nha Khoa Quốc Tế An Bình -
Nha khoa Phong răng
Gọi điệnRăng trắng sáng với nụ cười ấn tượng sẽ giúp mọi người tự tin hơn trong công việc và cuộc sống. Và, nếu không sở hữu được hàm răng trắng đẹp thì cũng đừng lo lắng vì có các phương pháp tẩy trắng răng xuất hiện. Và, nếu bạn muốn tìm kiếm địa chỉ tẩy trắng răng uy tín ở Bắc Giang thì Nha khoa Phong răng chính là địa chỉ tẩy trắng răng uy tín nhất.
Hệ thống trang thiết bị được sử dụng tại Nha khoa Phong răng được nhập khẩu mới 100%, đạt tiêu chuẩn chất lượng và độ an toàn quốc tế. Yêu cầu vệ sinh, an toàn được đặt lên hàng đầu. Nha khoa Phong răng đã trang bị hệ thống vô trùng tuyệt đối theo tiêu chuẩn, có phòng chụp X - Quang kỹ thuật số cho hình ảnh nhanh chóng, chính xác giúp cho việc điều trị tốt hơn. Công nghệ tẩy trắng răng tại Nha khoa Phong răng cũng được chú trọng và luôn luôn cập nhật những kĩ thuật mới. Tại Nha Khoa Phong Răng, tẩy trắng răng vật liệu xuất xứ Úc, răng trắng sáng đẹp lên 3 - 4 tone, trắng sáng như ngọc trai. Vì thế, khách hàng hoàn toàn có thể yên tâm khi sử dụng dịch vụ tẩy trắng răng tại Nha khoa Phong răng.
THÔNG TIN LIÊN HỆ:
Địa chỉ: 4 Ngõ 3, Phố Sàn, Phương Sơn, Lục Nam, TP. Bắc Giang, Bắc Giang
Điện thoại: 0373 618 492 & 0911 010 057Email: Nhakhoaphongranglucnam@gmail.com
Website: nha-khoa-phong-rang.business.site/
Fanpage: www.facebook.com/profile.php?id=100053614729930
Giờ mở cửa: 07:30 - 19:30
Gọi điện
Nha khoa Phong răng 
Nha khoa Phong răng -
Nha khoa Bác sĩ Quyết
Gọi điệnNha khoa Bác sĩ Quyết sở hữu đội ngũ bác sĩ có trình độ chuyên khoa giỏi, có tâm trong nghề. Các lĩnh vực tại trung tâm như: Implant, nha khoa thẩm mỹ, niềng răng, nha khoa tổng quát, răng trẻ em và phẫu thuật miệng. Trung tâm có rất nhiều dịch vụ cho bạn lựa chọn như: tẩy trắng răng, trám răng, cạo vôi đánh bóng.
Nên khi bạn đến với Nha khoa Bác sĩ Quyết, bạn sẽ được trải nghiệm sự khác biệt vượt bậc của trình độ cũng như tay nghề của các bác sĩ tốt nghiệp tại Trường Đại học về y khoa. Các chuyên gia nha khoa của trung tâm luôn đề cao y đức, không ngừng nâng cao trình độ chuyên môn, thường xuyên tham dự các Hội nghị chuyên ngành quốc tế và trong nước để cập nhật kiến thức mới, tận tâm trong công việc để mang lại cho khách hàng sự hoàn hảo.
Ngoài ra, tại Nha khoa Bác sĩ Quyết còn có dịch vụ kiểm tra răng miễn phí:
- Miễn phí kiểm tra răng và tư vấn
- Miễn phí chụp X - Quang răng
- Miễn phí scan răng 3D, biết trước kết quả niềng răng
- Trực tiếp đội ngũ bác sĩ tốt nghiệp chuyên khoa răng hàm mặt đại học Y Hà Nội thực hiện kỹ thuật
THÔNG TIN LIÊN HỆ:
Địa chỉ:- Cơ sở 1: Hoàng Mai, Phường Nếnh, Việt Yên, Bắc Giang
- Cơ sở 2: Chợ Nếnh, Phường Nếnh, Việt Yên, Bắc Giang
Điện thoại: 0983 900 606
Email: nhakhoavietphapbacgiang@gmail.com
Website: nhakhoabacsiquyet.business.site/
Fanpage:- www.facebook.com/nhakhoauytinbacgiang
- www.facebook.com/quyet15051983
- www.facebook.com/nhakhoavietphapthitrannenh
Giờ mở cửa: 08:00 – 20:00
Gọi điện
Nha khoa Bác sĩ Quyết 
Nha khoa Bác sĩ Quyết -
Phòng khám đa khoa Bảo Minh
Gọi điệnKhông nằm ngoài danh sách này, Phòng khám đa khoa Bảo Minh cũng là một cái tên nổi bật trong số những địa chỉ tẩy trắng răng uy tín nhất Bắc Giang. Với nhiều năm kinh nghiệm trong nghề, luôn lấy kết quả điều trị và sự hài lòng của khách hàng làm phương hướng hoạt động, Phòng khám đa khoa Bảo Minh luôn cảm thấy tự hào về những thành công đã đạt được cho đến bây giờ.
Tẩy trắng răng mang lại hiệu quả cao cho những trường hợp răng bị nhiễm màu do thực phẩm, răng có màu vàng. Nhưng kết quả mang lại phụ thuộc vào nguyên nhân và mức độ nhiễm màu răng. Phương pháp tẩy trắng răng Phòng khám đa khoa Bảo Minh được thực hiện tại nha khoa, dưới sự hỗ trợ của những trang thiết bị, công nghệ hiện đại và được giám sát bởi nha sĩ.
Thực hiện tẩy trắng răng tại Phòng khám đa khoa Bảo Minh giúp bạn tiết kiệm được thời gian, an toàn hơn, vì được thực hiện dưới sự kiểm soát của bác sĩ nên sẽ giúp bạn hạn chế được tình trạng ê buốt khi tẩy trắng răng. Tẩy trắng răng bằng đèn Plasma là một trong những phương pháp mang lại hiệu quả cao hiện nay và được áp dụng rộng rãi vì không làm hư hại men răng cũng như không gây ảnh hưởng trên sức khỏe. Tẩy trắng răng Plasma chỉ mất khoảng 1h30′ và diễn ra rất nhẹ nhàng. Hãy đến ngay với Phòng khám đa khoa Bảo Minh để sở hữu hàm răng trắng muốt các bạn hằng mong muốn!
THÔNG TIN LIÊN HỆ:
Địa chỉ: 4C Minh Khai, Dĩnh Kế, TP. Bắc Giang, Bắc Giang
Điện thoại: 020 4352 2222
Fanpage: www.facebook.com/PHONGKHAMDAKHOABAOMINHGiờ mở cửa: 07:00 – 17:00
Gọi điện
Phòng khám đa khoa Bảo Minh 
Phòng khám đa khoa Bảo Minh -
Nha Khoa Thùy
Gọi điệnNgày nay, ước muốn biến hàm răng bị ố vàng, ngả màu theo thời gian trở nên trắng sáng đã không còn khó khăn khi có sự ra đời của phương pháp tẩy trắng răng thẩm mỹ. Tuy nhiên, đâu là địa chỉ tẩy trắng răng uy tín để bạn có thể đặt trọn niềm tin? Nha Khoa Thùy tự hào là một trong những nha khoa uy tín tại Bắc Giang, với các Bác sĩ có trình độ chuyên môn cao, dày dặn kinh nghiệm, ứng dụng khoa học công nghệ Tẩy trắng răng tiên tiến, giúp bạn trải nghiệm được một phương pháp hoàn toàn mới trong hành trình hữu một nụ cười hoàn hảo.
Nha Khoa Thùy hiện nay đang áp dụng công nghệ tẩy trắng hàng đầu là công nghệ tẩy trắng răng hiện đại, là công nghệ được ưa chuộng hàng đầu hiện nay trên thế giới, bạn sẽ có một hàm răng trắng sáng đầy tự tin chỉ sau 1 giờ tẩy trắng răng. Phương pháp này sử dụng năng lượng ánh sáng kết hợp với gel tẩy trắng răng đã được nghiên cứu và chứng minh là hoàn toàn không làm ảnh hưởng đến men răng cũng như các thành phần cấu tạo nên răng. Nếu đang phân vân tìm kiếm địa chỉ nha khoa uy tín tại Bắc Giang đừng bỏ qua Nha Khoa Thùy bạn nhé.THÔNG TIN LIÊN HỆ:
Địa chỉ: 426 TDP Mới, Nghĩa Hồ, Thị trấn Chũ, Lục Ngạn, Bắc Giang
Điện thoại: 0973 224 844
Fanpage: www.facebook.com/nhakhoathuy84
Gọi điện
Nha Khoa Thùy 
Nha Khoa Thùy -
Nha Khoa Trọng Hòa
Gọi điệnNha Khoa Trọng Hòa là một trung tâm nha khoa hiện đại, uy tín, đạt chất lượng quốc tế trong điều trị Răng - Miệng, ngang tầm Thế Giới. Với đội ngũ Bác sĩ có kinh nghiệm, tay nghề cao, y đức tốt luôn được cập nhật kiến thức và công nghệ hiện đại của Nha Khoa thế giới. Đến với Nha Khoa Trọng Hòa răng - miệng của bạn sẽ được chăm sóc trong môi trường vệ sinh an toàn tuyệt đối. Với cơ sở vật chất hiện đại, tốt nhất hiện nay, răng khi được tẩy trắng sẽ phá vỡ các mảng bám trên bề mặt răng, làm sạch răng, xóa bỏ những ố vàng, xỉn màu trên răng… mang đến hàm răng trắng sáng, tự nhiên chỉ trong 1 lần tẩy duy nhất
Ở đây khâu vô trùng đúng tiêu chuẩn ngăn chặn sự lây nhiễm của các bệnh truyền nhiễm. Bạn sẽ được chăm sóc với sự tự tin và cảm giác an toàn và thoải mái không phải lo nghĩ đến chuyện an toàn trong vệ sinh hay chất lượng. Nha Khoa Trọng Hòa là một trung tâm chắc chắn sẽ mang lại cho bạn vô vàn sự lựa chọn đa dạng về mọi kỹ thuật từ đơn giản đến cao cấp, phù hợp với chi phí và yêu cầu của bạn. Ðến với Nha Khoa Trọng Hòa các bạn sẽ có một nụ cười đẹp và hơn thế nữa!
THÔNG TIN LIÊN HỆ:
Địa chỉ:- Cs 1: Tòa nhà 7 tầng ngã tư Thị trấn Vôi, Lạng Giang, Bắc Giang
- Cs 2: Tòa nhà 7 tầng, Chợ Giỏ, Tân Dĩnh, Lạng Giang, Bắc Giang
Điện thoại: 0912 456 906
Gọi điện
Email: nhakhoatronghoa@gmail.com
Fanpage: facebook.com/Tronghoanhakhoa/
Giờ mở cửa: 07:00 - 18:00
Nha Khoa Trọng Hòa 
Nha Khoa Trọng Hòa -
Nha Khoa Quốc Tế For Smile
Gọi điệnNha Khoa Quốc Tế For Smile được phần lớn khách hàng đánh giá là một nha khoa thẩm mỹ Răng Hàm Mặt an toàn tại Bắc Giang. Tại nha khoa có hầu hết các dịch vụ về làm đẹp, thẩm mỹ răng miệng, phục hình – chỉnh nha và điều trị các bệnh lý liên quan tới răng miệng.
Tại Nha Khoa Quốc Tế For Smile sử dụng phần lớn các dịch vụ, công nghệ hiện đại nhằm đáp ứng được nhu cầu an toàn cao cho bệnh nhân và mang lại hiệu quả cao trong điều trị. Một trong những dịch vụ hiện đại đang được nhiều bệnh nhân, khách hàng ưu chuộng ở Nha Khoa Quốc Tế For Smile là công nghệ tẩy trắng răng an toàn, hiện đại, nhanh chóng và hiệu quả.
Nha Khoa Quốc Tế For Smile có đưa vào sử dụng rất nhiều phương pháp làm trắng răng nhằm mục đích giúp bệnh nhân, khách hàng, khắc phục được hàm răng xấu, bị ố màu tìm đến với hàm răng thẩm mỹ với màu sắc răng trắng sáng, không tỳ vết. Công nghệ tẩy trắng răng an toàn bằng laser không những an toàn cao với người dùng mà còn mang lại hiệu quả cho hàm răng trắng sáng bất ngờ. Người dùng sẽ có hàm răng không tỳ vết, thẩm mỹ như mong muốn và có thể tự tin, thoải mái trong công việc và giao tiếp mà không sợ rào cản từ hàm răng không mấy thẩm mỹ như trước đây.THÔNG TIN LIÊN HỆ:
Địa chỉ: 381 Trung Nghĩa, Thị trấn Chũ, Lục Ngạn, Bắc Giang
Điện thoại: 0567 555 888 & 0973 832 235
Email: hieutooth@gmail.com
Fanpage: www.facebook.com/nhakhoaquoctehoanghieu
Gọi điện
Nha Khoa Quốc Tế For Smile 
Nha Khoa Quốc Tế For Smile

















