Top 10 Địa chỉ điều trị viêm tủy răng hiệu quả hàng đầu tại TP. HCM
Viêm tủy răng không chỉ mang đến cơn đau nhức dai dẳng, âm ỉ mà còn tiềm ẩn nguy cơ ảnh hưởng đến sức khỏe răng miệng và toàn cơ thể. Do đó, việc điều trị viêm ... xem thêm...tủy răng kịp thời và hiệu quả là vô cùng quan trọng. Dưới đây, Toplist xin giới thiệu một số địa chỉ nha khoa điều trị viêm tủy răng hiệu quả hàng đầu tại TP. HCM.
-
Nha khoa Bệnh viện JW Hàn Quốc
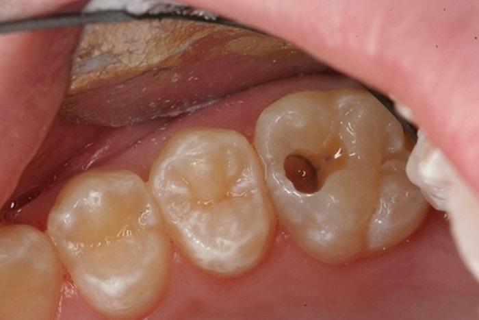
Gọi điệnNha khoa Bệnh viện JW Hàn Quốc là địa chỉ tiên phong trong việc chữa trị các bệnh lý răng miệng an toàn, đặc biệt là chữa tuỷ răng. Tủy răng tổn thương thưởng biểu hiện với triệu chưng đau, sưng hoặc tê buốt… khi tiếp xúc với đồ ăn nóng, lạnh. Trường hợp bệnh trở nặng được coi là chết tủy, việc giữ lại những mô tủy đã chết sẽ khiến tình trạng viêm nhiễm ngày càng nặng nề hơn, dẫn đến áp xe quanh chân răng, nhiễm trùng máu…ảnh hưởng đến sức khỏe và chất lượng cuộc sống. Chính vì vậy, lấy tủy răng là việc làm rất cần thiết. Quá trình điều trị tủy răng thực chất là việc loại bỏ những mô tủy đã bị nhiễm trùng, hoại tử và làm sạch ống tủy. Sau đó trám bít ống tủy lại bằng chất trám nhân tạo, ngăn chặn sự xâm nhập của vi khuẩn và mảng bám.
Tại Nha khoa Bệnh viện JW Hàn Quốc, điều trị tủy răng được thực hiện như sau:
- Bước 1: Thăm khám và chụp phim: Bác sĩ khám tổng quát toàn bộ khoang miệng, đặc biệt là chụp phim X-quang cụ thể nhằm xác định răng bị viêm tủy. Sau đó đưa ra đánh giá tổng quát tình trạng răng miệng của bệnh nhân. Đồng thời, trao đổi với bệnh nhân về phương pháp điều trị phù hợp.
- Bước 2: Gây tê. Bác sĩ sử dụng lượng thuốc thích hợp gây tê cho răng, giúp bệnh nhân không còn cảm giác đau đớn và thoải mái trong khi bác sĩ thực hiện điều trị. Lưu ý là nếu bệnh nhân bị dị ứng với thuốc tê thì có thể thay thế bằng thuốc diệt tủy.
- Bước 3: Đặt đế cao su. Nhằm ngăn chặn hóa chất từ thuốc rơi vào đường tiêu hóa hay đường thở sẽ gây nguy hiểm cho bệnh nhân, bác sĩ sử dụng đế cao su ôm sát vào răng cần lấy tủy. Việc làm này nhằm cách ly răng ra khỏi nướu và khoang miệng, giúp răng luôn được khô, sạch.
- Bước 4: Thực hiện lấy tủy. Bác sĩ sử dụng mũi khoan nha khoa chuyên dụng và khoan một đường nhỏ trên răng thông xuống ống tủy. Sau đó hút sạch những mô tủy bị viêm bằng kỹ thuật trâm tay hoặc trâm máy. Cùng với đó là bơm rửa sạch sẽ ống tủy, chụp phim X-quang xác định xem còn tủy viêm, vi khuẩn trong ống hay không.
- Bước 5: Trám bít ống tủy. Cuối cùng bác sĩ trám bít ống tủy bằng nhựa nha khoa chuyên dụng. Sao cho chất trám khít sát, lấp đầy hệ thống ống tủy.
- Bước 6: Hẹn lịch tái khám. Hoàn tất quá trình điều trị, bác sĩ chụp phim X-quang kiểm tra kết quả sau cùng và hẹn lịch tái khám.
Tại sao bạn nên chọn Nha khoa Bệnh viện JW Hàn Quốc:
- Đội ngũ bác sĩ JW được đào tạo bài bản và giàu kinh nghiệm thực tiễn đã chữa trị thành công cho nhiều trường hợp khó. Đặc biệt, tại JW, mỗi bác sĩ chuyên sâu một lĩnh vực về nha khoa, nhằm đảm bảo chuyên môn và tối ưu hóa hiệu quả cho khách hàng.
- Mọi cơ sở vật chất, máy móc, công nghệ, vật liệu,… hiện đại, cao cấp được chuyển giao từ Hàn Quốc cùng các công nghệ hàng đầu Anh, Pháp, Mỹ, Đức, đem lại sự thoải mái, tiện nghi, nhanh chóng hồi phục cho khách hàng và hỗ trợ bác sĩ thực hiện chính xác đến từng milimet. Hệ thống cơ sở hạ tầng hiện đại, phòng nha vô trùng sạch sẽ đảm bảo yêu cầu gắt gao của Bộ Y tế.
- Đặc biệt để tránh sự lây nhiễm và đảm bảo tính an toàn cho khách hàng, Khoa Răng Hàm Mặt - Bệnh Viện JW chú trọng vô trùng sạch với máy ngâm khử trùng sử dụng dòng điện xoay chiều tạo dao động siêu âm, lò hấp vô trùng lập trình tự động Auto Clave – tiệt trùng dưới áp suất và nhiệt độ cao trong hơn 1h dưới ánh sáng cực tím.
Quá trình điều trị tủy răng không quá phức tạp, với những kỹ thuật đơn giản bác sĩ sẽ loại bỏ được những tổn thương tủy răng cho bạn. Và để đạt được kết quả như mong muốn, việc lựa chọn địa chỉ nha khoa uy tín, an toàn là điều bạn nên làm. Tại thành phố Hồ Chí Minh, Khoa Răng Hàm Mặt - Bệnh Viện JW là địa chỉ được nhiều người biết đến và tin cậy lựa chọn. Sự kết hợp giữa đội ngũ bác sĩ chuyên khoa giàu kinh nghiệm cùng hệ thống trang thiết bị hiện đại, cam kết mang đến sự hài lòng sau khi điều trị cho bạn.
THÔNG TIN LIÊN HỆ:Gọi điện
Địa chỉ: Số 44-46-48-50 Tôn Thất Tùng, Phường Phạm Ngũ Lão, Quận 1, TP. HCM
Điện thoại: 0968 681 111
Email: cskh.benhvienjw@gmail.com
Website: https://nhakhoahanquoc.com.vn/
Fanpage: https://www.facebook.com/benhvienjw.vn/
Giờ mở cửa: 8:00 - 18:00
Nha khoa Bệnh viện JW Hàn Quốc Nha khoa Bệnh viện JW Hàn Quốc
-
Nha khoa Paris
Gọi điệnNha khoa Paris tự hào là một trong những phòng khám nha khoa uy tín hàng đầu tại TP.HCM, chuyên điều trị viêm tủy răng với chất lượng vượt trội, được đánh giá cao và tin tưởng bởi đông đảo khách hàng.
Với đội ngũ bác sĩ chuyên sâu, giàu kinh nghiệm trên 10 năm, từng tu nghiệp tại các quốc gia phát triển về nha khoa, Nha khoa Paris luôn không ngừng học hỏi và nâng cao trình độ chuyên môn để mang đến cho khách hàng dịch vụ tốt nhất. Đồng thời, ứng dụng các công nghệ thẩm mỹ nha khoa hàng đầu như tẩy trắng răng Whitemax, cấy ghép implant 4S, niềng răng 3D Speed, bọc răng sứ Nano 5S, hàn trám răng Laser Tech… giúp khách hàng sở hữu hàm răng đều đẹp, nụ cười rạng rỡ.
Khi đến với Nha Khoa Paris, bạn sẽ được trải nghiệm dịch vụ y tế chất lượng cao với các thiết bị nha khoa hiện đại nhập khẩu 100% từ Châu Âu như máy chụp phim thường, chụp CT… hỗ trợ điều trị chính xác và nhanh chóng.
THÔNG TIN LIÊN HỆ:Gọi điện
Địa chỉ: Số 97 Cộng Hòa, Phường 4, Quận Tân Bình, TP. HCM
Điện thoại: 1900 6900
Email: tuvan@nhakhoaparis.vn
Website: https://nhakhoaparis.vn/
Fanpage: https://www.facebook.com/NhaKhoaParis/
Giờ mở cửa: 8:00 - 18:00
Nha khoa Paris 
Nha khoa Paris -
Nha khoa Kim
Gọi điệnNhằm đảm bảo đạt được kết quả lấy tủy răng như mong đợi, đồng thời tránh gặp phải tình trạng đau nhức trong quá trình lấy tủy, bạn nên tìm một địa chỉ nha khoa uy tín – nơi sở hữu công nghệ lấy tủy răng hiện đại và được thực hiện bởi các bác sĩ có tay nghề, trình độ chuyên môn cao, giàu kinh nghiệm trong chăm sóc, điều trị nha khoa. Tại Nha khoa Kim, việc thực hiện điều trị nội nha, lấy tủy và điều trị tủy răng luôn tạo được niềm tin cho khách hàng nhờ chất lượng điều trị vượt trội với một liệu trình an toàn, hiện đại.
Toàn bộ quy trình đều được thực hiện bởi các bác sĩ chuyên khoa giàu kinh nghiệm, đã có hơn 15 năm tay nghề chăm sóc và điều trị. Quy trình lấy tủy răng tại Nha Khoa Kim được thực hiện chuyên nghiệp với các bước cụ thể và khoa học, đáp ứng yêu cầu của Sở Y Tế.
Hiện nay, Nha khoa Kim đang là địa chỉ điều trị, lấy tủy răng và phục hình răng bị sừng hóa do lấy tủy hiệu quả, uy tín nhất được các bệnh nhân bình chọn. Sau khi được thăm khám và chụp phim để xác định chính xác tình trạng của mình, bệnh nhân sẽ được lấy tủy răng với công nghệ lấy tủy răng không đau bằng máy lấy tủy siêu âm Wave One, sau đó phục hình bằng giải pháp trám răng Laser hoặc bọc răng sứ bằng công nghệ CAD/CAM 3D hiện đại. Nhờ đó, việc lấy tủy diễn ra an toàn, không gây ảnh hưởng đến sức khỏe của bệnh nhân và đạt được hiệu quả như mong đợi.
Bên cạnh đó, Nha khoa Kim ứng dụng hệ thống chụp Xquang vào thăm khám, xác định tình trạng của người bệnh. Nhờ đó, bác sĩ sẽ xác định được chính xác bị trí răng cần lấy tủy cũng như lượng tủy cần lấy thích hợp. Song song đó, sự ứng dụng máy điều trị tủy răng Wave-One sẽ giúp quá trình lấy tủy được tiến hành nhanh chóng, chính xác, không gây đau nhức hay khó chịu cho người bệnh.
Trang thiết bị máy móc là một trong những điểm mạnh vượt trội của Nha Khoa Kim mà rất ít địa chỉ nào có thể vượt qua được. Để chăm sóc sức khỏe răng miệng, điều trị và phục hình răng hàm mặt tốt nhất trên nền tảng kỹ thuật cao, Kim đã nhập khẩu trực tiếp hàng trăm thiết bị, máy móc hiện đại từ những tập đoàn nha khoa uy tín trên thế giới như: Máy X Quang Conebeam CT 3D, máy Panorex – Cephalometric, công nghệ thiết kế răng sứ CAD/CAM 3D, máy in mẫu răng hàm mặt 3D, phần mềm phân tích Simplant 3D, công nghệ VCeph 3D, máy tẩy trắng răng BriteWhite,…
Cam kết luôn mang đến những kết quả điều trị tốt nhất, bằng một liệu trình điều trị an toàn và chuyên nghiệp, được thực hiện bởi các bác sĩ chuyên khoa hàng đầu, giúp bạn có một hàm răng khỏe mạnh, thêm tự tin trong cuộc sống. Nha khoa Kim sẽ là một địa chỉ cung cấp các dịch vụ chất lượng với sự hỗ trợ của nhiều thiết bị hiện đại, công nghệ mới sẽ giúp bạn bảo vệ sức khỏe răng miệng tốt hơn.
THÔNG TIN LIÊN HỆ:
Địa chỉ:- Số 101 Sương Nguyệt Ánh, Phường Bến Thành, Quận 1, TP. HCM
- Số 345 Lê Văn Sỹ, Phường 13, Quận 3, TP. HCM
- Số 31 Nguyễn Đình Chiểu, Phường Đa Kao, Quận 1, TP. HCM
Điện thoại: 1900 6899Gọi điện
Email: cskh@kimdental.vn
Website: https://nhakhoakim.com/
Fanpage: https://www.facebook.com/NHAKHOAKIM
Giờ mở cửa: 8:00 - 20:00
Nha khoa Kim 
Nha khoa Kim -
Nha khoa Đông Nam
Gọi điệnTủy răng một khi bị viêm nhiễm, hoại tử nếu không được điều trị đúng cách thì sẽ dễ còn sót lại gây ra những biến chứng nghiêm trọng ảnh hưởng không tốt đến sức khỏe răng miệng của bệnh nhân. Vì vậy, một quy trình điều trị tủy răng an toàn sẽ góp phần đảm bảo kết quả điều trị được tốt nhất. Quy trình điều trị tủy răng an toàn tại Nha Khoa Đông Nam sẽ bào gồm các bước được thực hiện theo đúng trình tự y khoa.
Nha Khoa Đông Nam là một trung tâm nha khoa đã có nhiều năm kinh nghiệm trong nghề, tay nghề của đội ngũ y bác sĩ rất cao kết hợp với công nghệ điều trị hiện đại nhất sẽ mang đến một kết quả điều trị hoàn hảo, không gây đau nhức gì cho bệnh nhân mà vẫn đảm bảo tính thẩm mỹ cho răng sau khi phục hồi. Với đội ngũ bác sĩ nhiều năm kinh nghiệm, sở hữu tâm sở hữu nghề sẽ bảo đảm việc điều trị tủy cho bạn nhẹ nhàng nhất, giàu chuyên môn, kinh nghiệm mà còn được trải qua thực tế điều trị cho hàng ngàn bệnh nhân nên sẽ giúp khách hàng điều trị viêm tủy hiệu quả.
Tại Nha Khoa Đông Nam, cơ sở vật chất được đầu tư hiện đại, được nhập từ nước ngoài trừ theo tiêu chuẩn quốc tế, sở hữu không gian thoáng mát giúp các bạn thư giãn. Quy trình điều trị viêm tủy tại nha khoa được thực hành theo quy trình khép kín, luôn tuân theo những quy định chặt chẽ, chuẩn mực trong từng giai đoạn, các vật dụng phương tiện y tế luôn được tiệt trùng tuyệt đối, do ấy kết quả có lại luôn cao hơn trông mong của bệnh nhân.
Với tiêu chí lấy chất lượng và dịch vụ rẻ nhất, không tính sự chuyên nghiệp còn là sự tận tình của hàng ngũ nhân viên từ khâu hấp thụ cho tới khâu trông nom bệnh nhân, Nha Khoa Đông Nam còn sở hữu chính sách giá rất ưu đãi và thời gian bảo hành cực tốt.
THÔNG TIN LIÊN HỆ:
Địa chỉ:- Số 411 Nguyễn Kiệm, Phường 9, Quận Phú Nhuận, TP. HCM
- Số 614 Lê Hồng Phong, Phường 10, Quận 10 , TP. HCM
Điện thoại: 1900 7141
Email: nhakhoadongnam@gmail.com
Gọi điện
Website: https://nhakhoadongnam.com/
Fanpage: https://www.facebook.com/nhakhoadongnam
Giờ mở cửa: 8:00 - 20:00
Nha khoa Đông Nam 
Nha khoa Đông Nam -
Nha khoa Đăng Lưu
Gọi điệnKhi mắc các bệnh lý liên quan tới răng miệng, đặc biệt là bị viêm tủy thì bệnh nhân nên tìm tới một nha khoa uy tín để được thăm khám và điều trị khỏi hết. Nhằm chấm dứt những cơn đau dai dẳng cũng như chấm dứt khả năng bệnh biến chứng gây ra những hậu quả nguy hiểm hơn. Hiện nay tại Sài Gòn có trung tâm nha khoa Đăng Lưu được nhiều người biết đến với các dịch vụ hiện đại, uy tín, chất lượng và hiệu quả đạt được sau mỗi ca điều trị cao. Đặc biệt thái độ cũng như cách làm việc của bác sĩ, nhân viên nơi đây rất nhiệt tình, chuyên nghiệp. Giúp bạn luôn có cảm giác thoải mái khi điều trị.
Nha khoa Đăng Lưu được đánh giá là một trong những nha khoa hàng đầu hiện nay tại Việt Nam với nhiều dịch vụ hiện đại cùng với trang thiết bị máy móc hàng đầu được nhập từ các nhà cung cấp máy móc trang thiết bị nha khoa hàng đầu thế giới. Trước khi cập cảng Việt Nam, các loại máy móc đều được kiểm nghiệm về chất lượng, an toàn theo tiêu chuẩn của Hiệp Hội Nha Khoa Thế Giới.
- Hệ thống phòng khám tại nha khoa được vô trùng sạch sẽ và được làm vệ sinh thường xuyên nhằm đảm bảo độ an toàn cho bệnh nhân. Luôn cập nhật những biện pháp điều trị mới, hiện đại. Thường xuyên tổ chức những sự kiện chuyển giao về kỹ thuật giữa các bác sĩ của trung tâm với các nha sĩ hàng đầu thế giới của Hiệp Hội Nha Khoa Hoa Kỳ. Cho bệnh nhân trải nghiệm những dịch vụ mới, chất lượng cao và an toàn cao
- Lấy yếu tố con người làm đầu nên tại Đăng Lưu chi phí và giá cả cho tất cả các dịch vụ rất bình dân và phù hợp với tất cả các đối tượng.
- Không gian phòng khám rộng rãi, thoáng mát. Đội ngũ bác sĩ và nhân viên làm việc chuyên nghiệp, nhiệt tình, nụ cười hài lòng sẽ theo bạn ngay từ những gót chân đầu tiên.
Điều trị viêm tủy cần phải điều trị qua nhiều giai đoạn và mất thời gian. Do đó, trong quá trình điều trị bạn phải đến phòng nha theo lịch hẹn của Bác sỹ, số lần hẹn tùy thuộc vào tình trạng nặng nhẹ của răng bạn. Nha khoa Đăng Lưu cam kết mang đến cho bạn sự hài lòng. Hãy đến Nha Khoa Đăng Lưu – đến và trải nghiệm để cảm nhận sự khác biệt.
THÔNG TIN LIÊN HỆ:
Địa chỉ:- Số 34 Phan Đăng Lưu, Phường 6, Quận Bình Thạnh, TP. HCM
- Số 983 Trần Hưng Đạo, Phường 5, Quận 5, TP. HCM
Điện thoại: 1800 6578Gọi điện
Email: nhakhoadangluu@gmail.com
Website: https://implantdangluu.com/
Fanpage: https://www.facebook.com/nhakhoadangluu2/
Giờ mở cửa: 8:00 - 20:00
Nha khoa Đăng Lưu 
Nha khoa Đăng Lưu -
Nha khoa Parkway
Gọi điệnNha khoa Parkway một trong những cái tên đứng đầu trong danh sách các địa chỉ uy tín về điều trị tủy răng tại TP. Hồ Chí Minh. Mặc dù nổi bật với chuyên môn niềng răng và trồng răng Implant, nha khoa này cũng nổi tiếng với các dịch vụ điều trị các vấn đề răng miệng phổ biến khác.
Khách hàng chọn chữa tủy răng tại Nha khoa Parkway sẽ trải qua quy trình thăm khám chuyên nghiệp, mang lại sự thoải mái, an toàn và hoàn toàn không đau nhức. Bác sĩ chuyên khoa sẽ lập phác đồ điều trị, thực hiện các bước theo đúng tiêu chuẩn và với mức chi phí đã được thỏa thuận trước đó. Mức giá chữa tủy răng tại Nha khoa Parkway được công bố một cách minh bạch, giúp khách hàng cảm thấy yên tâm khi sử dụng dịch vụ. Có 2 gói dịch vụ là Điều trị tuỷ răng R1-2-3, Điều trị tuỷ răng R4-5 với 2 mức giá khác nhau.
Các bước điều trị tủy răng an toàn và không đau tại Nha khoa Parkway:
- Bước 1: Chẩn đoán/kiểm tra và chụp phim xác định tình trạng.
- Bước 2: Khử khuẩn khu vực viêm nhiễm và gây tê.
- Bước 3: Bắt đầu công đoạn lấy tủy đồng thời vệ sinh cũng như tạo hình ống tủy.
- Bước 4: Trám răng, phục hình về sinh khoang miệng.
Nếu bạn đang tìm một đơn vị nha khoa có tâm và xứng tầm với nhiều công nghệ điều trị không lo vấn đề chữa tủy răng thì Nha khoa Parkway là lựa chọn phù hợp.
THÔNG TIN LIÊN HỆ:
Địa chỉ:- Số 431 Lê Văn Việt, Phường Tăng Nhơn Phú A, TP. Thủ Đức, TP. HCM
- Số 228-228A Trần Hưng Đạo, Phường Nguyễn Cư Trinh, Quận 1, TP. HCM
- Số 215 Nam Kỳ Khởi Nghĩa, Phường Võ Thị Sáu, Quận 3, TP. HCM
Điện thoại: 1900 8059
Gọi điện
Email: cskh@nhakhoaparkway.com
Website: https://nhakhoaparkway.com/
Fanpage: https://www.facebook.com/nhakhoapw
Giờ mở cửa: 8:30 - 18:30
Nha khoa Parkway 
Nha khoa Parkway -
Nha khoa Quốc tế BIK
Gọi điệnTất cả các chi nhánh của Nha khoa Quốc tế BIK đều được trang bị những thiết bị công nghệ tiên tiến nhất và liên tục được cập nhật. Đội ngũ bác sĩ chuyên nghiệp và giàu kinh nghiệm cam kết mang lại trải nghiệm tuyệt vời nhất cho khách hàng khi sử dụng dịch vụ của nha khoa.
Bác sĩ tại Nha khoa Quốc tế BIK có hơn 10 năm kinh nghiệm làm việc tại bệnh viện Răng Hàm Mặt Thành phố Hồ Chí Minh. Với sự dày dặn kinh nghiệm và trình độ chuyên môn cao, các bác sĩ luôn tận tâm với từng ca chữa tủy răng để giảm bớt lo lắng và đau đớn cho khách hàng, đồng thời mang lại kết quả điều trị tốt nhất.
Nha khoa nhập khẩu trực tiếp các thiết bị từ nước ngoài như hệ thống máy chụp CT Conebeam, máy chữa tủy MTA, máy đo chiều dài của ống tủy, và thiết bị định vị chóp răng để hỗ trợ bác sĩ trong quá trình thăm khám và điều trị viêm tủy răng. Điều này đảm bảo chẩn đoán chính xác nhất và đưa ra hướng điều trị phù hợp, giúp tiết kiệm thời gian của khách hàng.
Tất cả dụng cụ và vật liệu điều trị nội nha tại Nha khoa Quốc tế BIK đều được kiểm định và cấp phép từ Bộ Y tế. Sử dụng các bộ trâm xoay từ MANI (Nhật Bản) và trân Dentsply Sirona (Đức) giúp làm sạch tủy răng bị hư hỏng một cách nhanh chóng và an toàn nhất. Bộ chêm gỗ với kích thước đa dạng cũng đảm bảo sự thoải mái cho khách hàng trong quá trình chữa tủy.
THÔNG TIN LIÊN HỆ:
Địa chỉ:- Số 707 Kha Vạn Cân, Phường Linh Chiểu, TP. Thủ Đức, TP. HCM
- Số 20 – 22 Lê Văn Việt, Phường Hiệp Phú, TP. Thủ Đức, TP. HCM
Điện thoại: 1900 8015Gọi điện
Email: info@nhakhoaquoctebik.com
Website: https://nhakhoaquoctebik.com/
Fanpage: https://www.facebook.com/nhakhoaquoctebik/
Giờ mở cửa: 8:00 - 20:00
Nha khoa Quốc tế BIK 
Nha khoa Quốc tế BIK -
Nha khoa I-DENT
Gọi điệnNha khoa I-DENT là một trong những cơ sở chữa tủy răng tại TPHCM hàng đầu trong khu vực. Tại đây cam kết cung cấp những dịch vụ chăm sóc răng miệng chất lượng nhất để làm hài lòng khách hàng và xây dựng niềm tin lâu dài. Đồng thời, nha khoa I-DENT còn liên tục cập nhật những công nghệ mới nhất để mang đến trải nghiệm tốt nhất và hiện đại nhất.
Khi khách hàng chọn chữa viêm tủy răng tại Nha khoa I-DENT, khách hàng sẽ được thăm khám và kiểm tra độ dài tuỷ cùng tình trạng răng thông qua hệ thống máy móc hiện đại. Đồng thời, nha khoa I-DENT sử dụng công nghệ tiên tiến để lấy tủy răng một cách nhanh chóng và không đau.
Điểm đặc biệt nhất tại nha khoa I-DENT chính là đội ngũ bác sĩ. Tại đây, mỗi bác sĩ không chỉ được đào tạo một cách tỉ mỉ và tốt nghiệp chuyên ngành Răng Hàm Mặt mà còn tích lũy nhiều năm kinh nghiệm chuyên sâu. Sở hữu sự chuyên sâu trong lĩnh vực, các bác sĩ thực hiện việc khám chữa viêm tủy răng một cách nhẹ nhàng, không gây đau và tuân thủ đúng quy trình theo tiêu chuẩn.
Ngoài việc có thiết bị công nghệ và đội ngũ bác sĩ chuyên môn, Nha khoa I-DENT còn được đánh giá cao về sự kỹ lưỡng trong mọi quy trình, minh bạch về chi phí và cam kết chăm sóc khách hàng tận tâm. Họ còn đặc biệt chú trọng đến việc duy trì sự vô trùng tuyệt đối thông qua phòng điều trị kín đáo.
THÔNG TIN LIÊN HỆ:
Địa chỉ:- Số 19V Nguyễn Hữu Cảnh, Phường 19, Quận Bình Thạnh, TP. HCM
- Số 193A - 195 Hùng Vương, Phường 9, Quận 5, TP. HCM
- Số 83 Đường số 3, KDC City Land Park Hills, Phường 10, Quận Gò Vấp, TP. HCM
Điện thoại: 0941 818 616
Gọi điện
Email: nhakhoa.ident@gmail.com
Website: https://nhakhoaident.com/
Fanpage: https://www.facebook.com/NhaKhoaIDent
Giờ mở cửa: 8:00 - 20:00
Nha khoa I-DENT 
Nha khoa I-DENT -
Nha khoa Ucare
Gọi điệnNha khoa Ucare tự hào là một trong những nha khoa “Uy tín – chất lượng” tại thành phố Hồ Chí Minh hiện nay. Với đội ngũ bác sĩ có chuyên môn cao, nhiều năm kinh nghiệm trong lĩnh vực nha khoa, tốt nghiệp từ các trường đại học danh tiếng. Các dịch vụ cao cấp nổi bật tại đây như điều trị viêm tủy được rất nhiều khách hàng lựa chọn bởi tính hiệu quả của dịch vụ tại Nha khoa Ucare.
Điều trị viêm tủy răng có vai trò quan trọng trong việc bảo tồn các răng bệnh lý và phục hồi chức năng ăn nhai. Hay nói đúng hơn, điều trị viêm tủy răng là biện pháp hiệu quả giảm bớt cơn đau răng do viêm tủy gây ra cho bạn:
- Bước 1: Khám chụp phim, chẩn đoán trước khi điều trị tủy răng
- Bước 2: Gây tê trước khi điều trị
- Bước 3: Đặt đê cao su:
- Bước 4: Mở lối vào buồng tủy răng, làm sạch và tạo hình ống tủy
- Bước 5: Trám bít ống tuỷ
Điều quan trọng nhất làm tạo niềm tin nơi khách hàng đó là đội ngũ bác sĩ, trợ thủ nha có trình độ, kinh nghiệm chuyên môn cao, ham học hỏi nâng cao tay nghề, cùng với đó là sự tận tâm y đức trong công việc. BS Ung Viết Cường, được quốc tế chứng nhận chuyên ngành về Veneer – Lumineers và Smile, đã thực hiện nhiều ca thẩm mỹ phức tạp.
Can thiệp tối thiểu – hạn chế đau: Nha khoa luôn phân tích kỹ lưỡng từng trường hợp cụ thể, có kế hoạch điều trị hợp lý trên nguyên tắc hạn chế tối đa việc xâm lấn mô răng và cấu trúc quanh răng. Hạn chế các điều trị không cần thiết và các biến chứng không đáng có sau điều trị
Sự tận tâm dành cho khách hàng: Tập thể Ucare luôn cố gắng thấu hiểu và chia sẻ được những lo lắng của bệnh nhân bằng cách thăm khám kĩ lưỡng, nắm rõ vấn đề bệnh nhân thực sự quan tâm, vấn đề bệnh nhân thực sự cần phải điều trị. Trong suốt quá trình điều trị bệnh nhân được chăm sóc và theo dõi chu đáo.
Phòng khám chuyên khoa răng hàm mặt Ucare còn nổi trội bởi hệ thống máy móc, thiết bị tiên tiến hiện đại đạt tiêu chuẩn quốc tế, với hệ thống máy chụp X-quang 3D, máy cấy ghép Implant, công nghệ phục hình 3D Shape, hệ thống chỉnh nha 3M, bộ thiết bị tẩy trắng Laser Whiteness Perfect cùng các thiết bị dụng cụ y tế phục vụ cho công nghệ được kiểm duyệt, vô khuẩn chặt chẽ theo quy chuẩn của bộ y tế. Ucare luôn cố gắng áp dụng những qui trình điều trị cùng các tiêu chuẩn đánh giá chất lượng điều trị tiên tiến nhất mà thế giới đang có. Chúng tôi sẵn sàng lắng nghe và chấp nhận những khiếm khuyết của mình, sẵn sàng tiếp nhận những thiếu sót trong quá trình điều trị cũng như những kết quả điều trị không như mong muốn. Đó là cách mà chúng tôi tâm niệm để Ucare ngày càng tiến bộ và hoàn thiện.
Nha khoa Ucare muốn hướng đến đó là một phòng khám Răng - Hàm - Mặt chuyên sâu, tín nhiệm và thân thiện trong lòng khách hàng. Ucare luôn đặt lợi ích khách hàng lên trên hết, sự hài lòng của khách hàng là nền tảng để Ucare phát triển.
THÔNG TIN LIÊN HỆ:Gọi điện
Địa chỉ: Số 487B Nguyễn Đình Chiểu, Phường 2, Quận 3, TP. HCM
Điện thoại: 0914 830 117
Email: info@nhakhoaucare.com.vn
Website: https://nhakhoaucare.com.vn/
Fanpage: https://www.facebook.com/nhakhoaucare
Giờ mở cửa: 8:00 - 19:00
Khách hàng điều trị viêm tủy tại nha khoa Ucare 
Nha khoa Ucare -
Nha khoa Tâm Đức Smile
Gọi điệnCần biết rằng viêm tủy răng là một bệnh lý phổ biến, gây ra nhiều đau nhức khó chịu cho người bệnh. Các nguyên nhân dẫn đến viêm tủy là: sâu răng, viêm nha chu, chấn thương răng, thường xuyên ăn uống thực phẩm quá nóng hoặc quá lạnh. Chữa tủy - Nội nha là công đoạn điều trị được áp dụng cho những trường hợp răng sâu quá lớn, lộ tủy và buộc phải lấy tủy để tránh gặp tình trạng đau nhức dữ dội. Bằng cách lấy sạch vi khuẩn và phần tủy bị viêm trong ống tủy, sau đó trám bít chặt hệ thống ống tủy nhằm ngăn chặn vi khuẩn xâm nhập, nhờ đó loại bỏ viêm nhiễm và bảo tồn mô răng còn lại.
Khác với những phương pháp Nội nha chữa tủy thủ công thông thường, tại Nha khoa Tâm Đức Smile được trang bị máy nội nha giúp hỗ trợ quá trình điều trị chữa tủy diễn ra nhanh chóng, đem đến hiệu quả, an toàn hơn hẳn, bảo tồn tối đa mô răng thật cho Khách hàng.
Nội nha chữa tủy yêu cầu sự chính xác, tỉ mỉ để loại bỏ hoàn toàn những mô viêm nhiễm ra khỏi răng một cách hiệu quả. Với đội ngũ Bác sĩ chuyên khoa giàu kinh nghiệm và tận tâm, cùng sự hỗ trợ của máy nội nha và hệ thống trang thiết bị vô trùng, Nha khoa Tâm Đức thực hiện quy trình Chữa tủy - Nội nha theo đúng tiêu chuẩn của Bộ Y Tế, đảm bảo an toàn, hiệu quả và tạo cảm giác thoải mái cho khách hàng.
Khách hàng điều trị Nội nha - Chữa tủy tại Nha khoa Tâm Đức Smile không cần phải lo lắng nhiều về hiệu quả, chi phí hay thời gian thực hiện, bởi vì:
- Nha khoa Tâm Đức có đội ngũ Bác sĩ giàu kinh nghiệm, khéo léo và tận tâm, luôn cố gắng bảo tồn tối đa răng thật cho khách hàng.
- Hệ thống trang thiết bị hiện đại và vô trùng của chúng tôi luôn đảm bảo hiệu quả điều trị Nội nha - Chữa tủy cho khách hàng.
- Quy trình điều trị Nội nha - Chữa tủy chuyên nghiệp, tuân thủ nghiêm ngặt theo các quy định của Bộ Y Tế.
- Nội nha - Chữa tủy không đau, không ảnh hưởng nướu, không gây ê buốt.
Hàng trăm ca Nội nha - Chữa tủy được thực hiện mỗi tháng tại Hệ thống Trung tâm Nha khoa Tâm Đức, đem đến hiệu quả cao và sự hài lòng cho Khách hàng.
THÔNG TIN LIÊN HỆ:
Địa chỉ:- Số 140 Lý Thái Tổ, Phường 2, Quận 3, TP. HCM
- Số 1112 Huỳnh Tấn Phát, Phường Phú Mỹ, Quận 7, TP. HCM
- Số 52 Tân Kỳ Tân Quý, Phường Tây Thạnh, Quận Tân Phú, TP. HCM
Điện thoại: 0286 250 6208
Email: tamducdental2020@gmail.com
Gọi điện
Website: https://nhakhoatamducsmile.com/
Fanpage: https://www.facebook.com/tamducsmile
Giờ mở cửa: 8:00 - 20:00
Nha khoa Tâm Đức 
Nha khoa Tâm Đức


















