Top 10 Địa chỉ niềng răng tại Hà Nội: uy tín hàng đầu
Tại Hà Nội, việc lựa chọn địa chỉ niềng răng uy tín là yếu tố then chốt để đảm bảo hiệu quả và an toàn trong quá trình chỉnh nha. Những phòng khám nha khoa ... xem thêm...hàng đầu với đội ngũ bác sĩ tay nghề cao, trang thiết bị hiện đại và quy trình điều trị chuyên nghiệp chính là điểm đến tin cậy dành cho khách hàng mong muốn sở hữu nụ cười hoàn hảo. Địa chỉ niềng răng uy tín tại Hà Nội không chỉ mang lại kết quả thẩm mỹ tối ưu mà còn cam kết chăm sóc toàn diện, giúp bạn tự tin hơn trong cuộc sống.
-
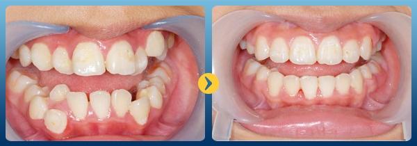
Nha Khoa Zensmile
Gọi điệnNha Khoa Zensmile hiện là một trong những nha khoa niềng răng uy tín tại Hà Nội, được hàng ngàn khách hàng tin tưởng lựa chọn để sở hữu nụ cười đều đẹp, khớp cắn chuẩn và tự tin trong giao tiếp. Với triết lý “nha khoa êm” – nhẹ nhàng trong từng thao tác, tận tâm trong từng chi tiết – Zensmile cam kết mang đến trải nghiệm chỉnh nha dịu nhẹ, không đau, giúp khách hàng cảm thấy thoải mái suốt quá trình niềng.
Luôn không ngừng nâng cao chất lượng dịch vụ, Nha Khoa Zensmile đầu tư bài bản hệ thống trang thiết bị hiện đại, tại chỗ tiết kiệm thời gian di chuyển cho khách hàng, đặc biệt hơn hết là các khách hàng đều được đội ngũ Bác sĩ Chuyên khoa I giỏi chuyên môn, giàu kinh nghiệm trực tiếp thăm khám, tư vấn và điều trị tới khi ca chỉnh nha hoàn thành.
Các phương pháp niềng răng hiệu quả tại Nha Khoa Zensmile:- Niềng Invisalign / Khay trong suốt – dễ tháo lắp, thoải mái ăn uống, giao tiếp tự tin.
- Mắc cài sứ – gần màu răng tự nhiên, thẩm mỹ cao.
- Mắc cài kim loại mặt ngoài – dịch chuyển răng ổn định, kết quả chắc chắn.
- Mắc cài kim loại mặt trong – “vô hình”, phù hợp với người quan tâm thẩm mỹ.
- Mắc cài smart tự buộc - thiết kế thông minh thế hệ mới giúp rút ngắn thời gian điều trị, giảm đau và tiện lợi hơn.
Mỗi phương pháp đều có ưu điểm riêng, và bác sĩ Zensmile sẽ tư vấn phác đồ cá nhân hoá phù hợp với thể trạng và nhu cầu của từng người.
Vì sao nên chọn niềng răng tại Nha Khoa Zensmile?- Phân tích – lên phác đồ bằng phần mềm kỹ thuật số hiện đại.
- Dự đoán kết quả trước khi niềng, bạn sẽ hình dung nụ cười tương lai.
- Bác sĩ chuyên khoa 1 trực tiếp điều trị và đồng hành xuyên suốt.
- Theo dõi sát sao từng giai đoạn – răng được “thiết kế” đúng ngay từ đầu.
Zensmile cam kết mang lại trải nghiệm chỉnh nha với 3 KHÔNG:
- KHÔNG đau – thoải mái ăn uống.
- KHÔNG vất vả – giảm tần suất tái khám.
- KHÔNG lâu – hiệu quả rõ rệt, răng đều đẹp từ những lần nắn chỉnh đầu tiên.
Ngoài ra, Zensmile còn mang đến nhiều ưu đãi hấp dẫn:
- Tặng gói cạo vôi đánh bóng răng trị giá 500k
- Tặng gói thăm khám và chụp chiếu ban đầu trị giá 850k
- Tặng gói tẩy trắng trị giá 3 triệu
- Tặng máy tăm nước trị giá 2 triệu
- Tặng hàm duy trì sau niềng trị giá 2 triệu
- Tặng gói chăm sóc & vệ sinh răng miệng lên đến 5 năm – đảm bảo duy trì kết quả lâu dài
- Hỗ trợ thanh toán trước chỉ 30% chi phí, trả góp 0% lãi suất dài hạn
- Tặng thêm tiền mặt khi đi theo nhóm, hoặc khi thanh toán trước từ 50%
- Có hợp đồng CAM KẾT hiệu quả niềng
Tính đến nay đã có hàng ngàn ca niềng răng đã thực hiện thành công tại Nha Khoa Zensmile. Với đội ngũ bác sĩ chuyên khoa giàu kinh nghiệm và hệ thống máy móc hiện đại, Nha Khoa Zensmile cam kết mang đến giải pháp niềng răng an toàn, hiệu quả và thẩm mỹ cho cả trẻ em lẫn người lớn. Chính vì vậy, nếu như bạn đang tìm kiếm địa chỉ niềng răng uy tín tại Hà Nội thì Nha Khoa Zensmile chính là sự lựa chọn đúng đắn nhất của bạn .
THÔNG TIN LIÊN HỆ:
Địa chỉ: B2-05A Vinhomes Gardenia, Hàm Nghi, Từ Liêm, Hà Nội
Hotline: 0789 660 550
Giờ mở cửa: 8:00 – 20:30 hàng ngày
Fanpage: https://www.facebook.com/nhakhoazensmile/
Gọi điện
Nha Khoa Zensmile 
Nha Khoa Zensmile -
Bác sĩ Vũ Đức Tùng - Hơn 20 năm kinh nghiệm, sở hữu nhiều ca điều trị Invisalign xuất sắc
Gọi điệnTốt nghiệp Đại học Y Hà Nội chuyên ngành Răng Hàm Mặt từ năm 2005, cho đến nay, bác sĩ Tùng đã có hơn 20 năm kinh nghiệm trong ngành, là TOP 80 Bác sĩ/Diễn giả Invisalign hàng đầu thế giới và đạt được nhiều thành tựu như:
- 6 năm liên tiếp là bác sĩ hạng Diamond (kim cương) và Black Diamond của Invisalign.
- Có nhiều ca điều trị xuất sắc được đăng trên Global Invisalign Gallery, trong đó có 1 trong 10 ca điều trị Invisalign xuất sắc nhất của Khu vực (Đông Nam Á và Ấn Độ) được chọn trưng bày tại Sảnh lớn của Hội Nghị South Asia Forum 2019, Singapore.
- Tháng 5/2020, bác sĩ Tùng có ca lâm sàng được lựa chọn làm ca tiêu biểu (In Spotlight – Case Report) gửi đến các bác sĩ khu vực Châu Á Thái Bình Dương. Đây là ca đầu tiên của khu vực Đông Nam Á nhận được vinh dự này.
- Bác sĩ Vũ Đức Tùng ba năm liền được mời thuyết trình tại hội nghị lớn nhất khu vực Đông Nam Á của Invisalign (2020 – 2023)
- Chia sẻ của BS Vũ Đức Tùng được Invisalign sử dụng cho chương trình quảng bá toàn cầu.
- Là diễn giả của Invisalign Việt Nam và là giảng viên đầu tiên cho khóa học cao cấp TC1- Một trong những khóa học bắt buộc để nhận chứng chỉ và trở thành bác sĩ điều trị chỉnh nha bằng máng trong suốt Invisalign đều phải trải qua.
- Là bác sĩ Việt duy nhất tham dự Hội nghị toàn cầu của Align dành cho TOP 300 Bác sĩ Invisalign hàng đầu thế giới tại Vancouver, Canada.
- Điều trị thành công hàng nghìn ca Invisalign, Niềng răng mắc cài, Cấy ghép Implant, Veneers…
- Được trao giải thưởng Lifetime Achievement Award danh giá của Invisalign.
- Không chỉ vậy, Bs Tùng là bác sĩ Việt đầu tiên gia nhập Hiệp hội Chỉnh nha Hoa Kỳ (AAO) năm 2016 và đang là thành viên của các hiệp hội nha khoa uy tín nhất thế giới như: Liên đoàn Chỉnh nha Thế giới (WFO), Hiệp hội bác sĩ chỉnh nha máng trong Châu Âu (EAS), Tổ chức nha khoa lâu đời và uy tín nhất thế giới ICD (thành lập từ 1920),...
- Và còn rất nhiều giải thưởng, thành tựu khác…..
Niềng răng tại Nha khoa Minh Thu:
- Nha khoa có lịch sử phát triển hơn 35 năm với hàng chục nghìn ca Niềng răng Mắc cài, Invisalign. Kho tàng lâm sàng lớn ở mọi độ tuổi, từ những ca đơn giản đến phức tạp giúp bác sĩ đưa ra kế hoạch điều trị chính xác phù hợp với từng khách hàng, rút ngắn thời gian điều trị lên đến 6 tháng.
- Các bác sĩ đều có hơn 10 năm kinh nghiệm với nhiều thành tựu, giải thưởng xuất sắc thăm khám, tư vấn và điều trị trực tiếp.
- Hệ thống ba cơ sở ở các vị trí thuận tiện, có chỗ đỗ xe ô tô tại các quận trung tâm Hà Nội: Hai Bà Trưng, Cầu Giấy, Long Biên; phát triển theo chiều sâu - kiểm soát chuyên môn chặt chẽ.
- Cơ sở vật chất cao cấp với diện tích một mặt sàn1200m2, đặt lịch hẹn cá nhân giúp khách hàng không phải chờ đợi, riêng tư và đi thăm khám với tâm thế nhẹ nhàng và thư thái.
- Không gian thăm khám được trang bị đầy đủ những thiết bị, máy móc hiện đại như: Hệ thống máy chụp phim toàn cảnh Panorama/Ceph, hệ thống chụp 3D sọ mặt của Ý, máy quét dấu hàm iTero Lumina của Mỹ,…
Với bề dày kinh nghiệm và đội ngũ chuyên môn xuất sắc, cùng những cập nhật và những ứng dụng khoa học công nghệ tiên tiến trong điều trị, Nha khoa Minh Thu chính là địa điểm niềng răng uy tín để bạn và gia đình tin chọn.
THÔNG TIN LIÊN HỆ:
Địa chỉ:
- Cơ sở 1: 193 C3 Bà Triệu, Hà Nội – Hotline: 024 3976 0891
- Cơ sở 2: 92 Hoàng Ngân, Hà Nội – Hotline: 024 3556 8837
- Cơ sở 3: Tầng 2, H4H5 Hope Residences, Chu Huy Mân, Long Biên, Hà Nội – Hotline: 024 6689 8198
Email: contact@nhakhoaminhthu.com
Website: www.nhakhoaminhthu.com
Bác sĩ Vũ Đức Tùng: www.nhakhoaminhthu.com/bac-si-vu-duc-tung
Fanpage: https://www.facebook.com/nhakhoaminhthu
Gọi điện
Nha khoa Minh Thu – Hơn 35 năm bền vững với hàng nghìn ca điều trị Invisalign và niềng răng mắc cài 
Các ca điều trị niềng kết thúc tại Minh Thu đều đạt được cả yếu tố thẩm mỹ, khả năng ăn nhai, khớp cắn đúng, và sự ổn định lâu dài cho bệnh nhân -
Nha Khoa Tấm Dentist
Gọi điệnNụ cười tự tin, rạng rỡ chính là thứ "vũ khí” lợi hại nhất để tạo cho bản thân một sức hút riêng. Nếu bạn vẫn chưa hài lòng về hàm răng hiện tại hoặc đang gặp các vấn đề như răng hô, móm, khấp khểnh, khớp cắn lệch,… thì hãy thay đổi ngay với dịch vụ niềng răng tại Nha Khoa Tấm Dentist và đây cũng là cái tên tiếp theo mà Toplist muốn nhắc đến trong danh sách này.
Cải thiện nụ cười, tạm biệt hô, móm, khấp khểnh, khớp cắn lệch với các phương pháp Niềng răng tại Tấm Dentist:
- Niềng răng mắc cài kim loại UGSL: Chi phí hợp lý, lực kéo răng ổn định giúp đạt được hiệu quả niềng răng tốt.
- Niềng răng mắc cài sứ: Tính thẩm mỹ cao do mắc cài có màu sắc tương đồng với màu răng thật, chất liệu sứ, pha lê thân thiện với sức khỏe người dùng.
- Niềng răng mặt trong (mặt lưỡi): Tính thẩm mỹ cao nhất trong tất cả các loại niềng răng bằng mắc cài, phù hợp với khách hàng thường xuyên phải giao tiếp.
- Niềng răng trong suốt Invisalign: Khay niềng Invisalign mang lại tính thẩm mỹ cao, giúp tháo lắp dễ dàng, tạo cảm giác thoải mái, hiệu quả ưu việt.
Vì sao bạn nên lựa chọn dịch vụ niềng răng tại Nha Khoa Tấm Dentist?
- Áp dụng công nghệ chỉnh nha hiện đại, giảm đau nhức, rút ngắn thời gian niềng.
- Tính toán độ di chuyển của răng chính xác, dự đoán trước kết quả sau khi hoàn thiện.
- An toàn tuyệt đối với mắc cài, khí cụ chính hãng.
- Hiệu quả chỉnh nha ổn định, lâu dài, không sợ tái phát.
- Đa dạng các phương pháp chỉnh nha giúp bạn lựa chọn phương pháp phù hợp nhất
- Hỗ trợ khách hàng tối đa với chính sách trả góp lãi suất 0%
- Đội ngũ bác sĩ là các chuyên gia hàng đầu trong lĩnh vực chỉnh nha, điều trị thành công nhiều ca khó và phức tạp sẽ giúp bạn hoàn thiện nụ cười như ý.
Bảng giá dịch vụ niềng răng của Nha Khoa Tấm Dentist:
- Mắc cài kim loại UGSL: 24.500.000đ
- Mắc cài tự buộc 3M: 35.000.000đ
- Mắc cài sứ 3M: 40.000.000đ
- Mắc cài sứ tự đóng 3M: 50.000.000đ
- Niềng răng trong suốt (Invisalign): Từ 100.000.000 đến 200.000.000đ
Bên cạnh đó, chi phí chỉnh nha tại Nha Khoa Tấm Dentist phù hợp với nhiều đối tượng khác nhau với sự đa dạng trong các phương pháp chỉnh nha giúp khách hàng có nhiều sự lựa chọn phù hợp với kinh tế, mong muốn và tình trạng răng thực tế, đặc biệt đối với các bạn học sinh, sinh viên, Tấm Dentist luôn là lựa chọn hàng đầu.
Review trải nghiệm tại Nha khoa Tấm Dentist:- "Dịch vụ chất lượng, nhân viên siêu nhiệt tình, tận tâm, cơ sở vật chất mới, đẹp. Mình niềng mắc cài ở đây gần 1 năm rồi và trải nghiệm rất oke. Cứ 1 khoảng thời gian bên tt sẽ gọi để hỏi trải nghiệm của khách hàng về trải nghiệm dịch vụ. Rất oke."
- "Cơ sở vật chất ở Tấm tốt, hiện đại.
Nhân viên thân thiện tư vấn nhiệt tình. Bác sĩ take care quá trình. Mình niềng mắc cài ở đây gần 1 năm rồi, trải nghiệm rất oke. Cứ 1 khoảng thời gian bên tt sẽ gọi để hỏi trải nghiệm của KH để rút kinh nghiệm. Nói chung mình hài lòng khi làm răng ở đây."
THÔNG TIN LIÊN HỆ:
Địa chỉ: 214 P.Tôn Đức Thắng, Hàng Bột, Đống Đa, Hà Nội
Điện thoại: 0966 080 638
Email: tamdentist.vn@gmail.com
Website: nieng-rang.com/
Fanpage: www.facebook.com/tamdentist.vn
Giờ mở cửa: 09:00 – 18:00
Gọi điện
Tấm Dentist 
Tấm Dentist -
Chỉnh nha Dr Trinh – Nha khoa Beauty Dental - Chỉnh nha cùng chuyên gia
Gọi điệnChỉnh nha Dr Trinh là dịch vụ chính, uy tín tại Beauty Dental, được trực tiếp Ths.Bs Trần Đức Trinh, chuyên gia chỉnh nha với hơn 17 năm kinh nghiệm thực hiện. Ths. Bs Trần Đức Trinh là Bác sỹ tiên phong với kỹ thuật niềng răng hiện đại, thăng hạng nụ cười khách hàng trên nền răng thật. Hiện, Dr Trinh cũng là thành viên Ban chấp hành Hội Nắn Chỉnh Răng Việt Nam.
Chỉnh nha Dr Trinh – Nha khoa Beauty Dental là địa chỉ chỉnh nha uy tín, là một trong những cái tên dẫn đầu về chỉnh nha tại Hà Nội, được khách hàng niềng răng khắp các tỉnh thành lựa chọn và cả những khách hàng nước ngoài đang sinh sống và làm việc tại Việt Nam gửi gắm niềm tin và giới thiệu cho nhau. Nơi đây liên tục cập nhật các kỹ thuật chỉnh nha chuyên sâu, khắc phục những tình trạng răng hô, móm, lệch lạc, đặc biệt là việc kéo răng thay thế đối với trường hợp mất răng, vừa tiết kiệm chi phí mà lại bảo tồn răng thật nên được đông đảo khách hàng tin tưởng lựa chọn.
Với trang thiết bị hiện đại, tại chỗ tiết kiệm thời gian di chuyển cho khách hàng, đặc biệt hơn hết là các khách hàng đều được trực tiếp chuyên gia, Ths Bs Trần Đức Trinh khám hơn 70 chỉ số và điều trị trực tiếp, theo dõi cho tới khi ca chỉnh nha hoàn thành.
Một số phương pháp niềng hiệu quả được hàng ngàn khách hàng lựa chọn tại Beauty Dental:
- Niềng răng bằng mắc cài kim loại tự buộc Damon: phương pháp niềng răng này được nhiều khách hàng lựa chọn nhất tại Beauty Dental – Chỉnh nha Dr Trinh vì độ hiệu quả và cả trải nghiệm trên răng không đau.
- Niềng răng bằng khay trong suốt là phương pháp phù hợp với các ca có hàm răng chen chúc chúc vừa phải, di chuyển răng hiệu quả với khoảng cách dưới 5mm.
- Niềng răng bằng mắc cài sứ tự buộc Damon Clear là phương pháp phù hợp với những khách hàng cần thẩm mỹ cao và hiệu quả với hầu hết các ca điều trị.
- Niềng răng bằng mắc cài kim loại thường cũng là phương pháp phù hợp cho tất cả các ca điều trị, chi phí hợp lý và có sử dụng chun trong quá trình điều trị.
Vì sao bạn nên niềng răng tại Chỉnh nha Dr Trinh - Nha Khoa Beauty Dental?
- Bạn được trực tiếp Ths.Bs Trinh khám và điều trị trực tiếp
- Quy trình niềng răng chuẩn y khoa với hệ thống hồ sơ và lộ trình theo dõi suốt quá trình
- Kế hoạch điều trị riêng biệt, chuyên sâu từng ca
- Nhân viên tận tâm và hỗ trợ khách hàng trước, trong và sau niềng răng
- Chi phí dịch vụ tương xứng với chất lượng
- Hợp đồng minh bạch và chế độ bảo hành rõ ràng
Mỗi nụ cười là một câu chuyện và Nha Khoa Beauty Dental là một phần trong đó suốt hơn 17 năm qua. Hành trình đi tìm nụ cười quả thật không hề dễ dàng với nhiều người khi phải đối diện với nhiều nỗi lo như sợ đau, thời gian lâu, sợ vướng hay khó chịu,... Và đó cũng là tâm lý chung của các bạn trẻ như Nguyễn Đỗ An Khánh hay Hoàng Yến Ngọc - những khách hàng đã từng niềng răng tại Nha Khoa Beauty Dental. Câu chuyện của họ trải qua nhiều quá trình từ lúc lựa chọn thời điểm niềng răng, đến khi bắt đầu niềng răng, rồi “không quen” khi tháo niềng. Từ lúc còn sợ đến lúc “suýt bật cười” khi niềng răng cùng Dr Trinh, từ lúc không tự tin đến lúc mà cứ “cười suốt” vì đã sở hữu một nụ cười thật xinh đẹp. Sau tất cả, niềng răng cùng Nha Khoa Beauty Dental là một hành trình không đau đớn, tự tin và thoải mái. Là hành trình hạnh phúc vì đã tìm lại được nụ cười ước mơ của mình.
Chính vì vậy, nếu bạn muốn tìm kiếm một địa chỉ niềng răng uy tín ở Hà Nội thì còn chần chờ gì nữa mà không đến ngay Nha Khoa Beauty Dental. Để biết thêm thông tin chi tiết nhất về dịch vụ, bạn có thể liên hệ với nha khoa qua hotline 0908 598 398 hoặc thông tin bên dưới nhé.
THÔNG TIN LIÊN HỆ:
Địa chỉ: Số 152, Nguyễn Văn Lộc, Mỗ Lao, Hà Đông
Điện thoại: 0908 598 398
Website: https://beautydental.vn/
Fanpage: https://www.facebook.com/BeautyDental.vn/
Gọi điện
Những nụ cười mới đầy tự tin khi chỉnh nha cùng Ths.Bs Trần Đức Trinh 
Mỗi khách hàng niềng răng là một câu chuyện, một hành trình nhiều cảm xúc -
Nha Khoa Neosmile
Gọi điệnTại Hà Nội, Nha Khoa Neosmile hiện là một trong những địa chỉ nha khoa UY TÍN, dẫn đầu về CHỈNH NHA với tiêu chí bảo tồn răng thật tối đa cho khách hàng, liên tục cập nhật kỹ thuật chỉnh nha chuyên sâu, khắc phục những tình trạng răng hô, móm, lệch lạc. Với định hướng chuyên sâu về chỉnh nha cho mọi lứa tuổi, thời gian vừa qua NeoSmile vẫn luôn không ngừng nâng cao chất lượng điều trị, hướng tới kết quả bền vững, khớp cắn chuẩn và nụ cười tự tin theo đúng chuẩn mực quốc tế.
Chỉnh nha cùng Tiến sĩ chỉnh nha Nhật Bản đầu tiên tại Việt Nam
Ưu điểm nổi bật hàng đầu của NeoSmile chính là đội ngũ chuyên môn nòng cốt do TS.BS Nguyễn Anh Tuấn trực tiếp phụ trách. Bác sĩ là Tiến sĩ – Bác sĩ Nội trú, chuyên khoa Chỉnh nha, đồng thời là Visiting Scholar tại Khoa Chỉnh nha – Đại học Nagasaki (Nhật Bản). Đặc biệt, TS.BS Nguyễn Anh Tuấn là Tiến sĩ chỉnh nha tốt nghiệp tại Nhật Bản đầu tiên tại Việt Nam, sở hữu hơn 1.000 ca chỉnh nha thành công từ đơn giản đến phức tạp cho khách hàng trong và ngoài nước.
Công nghệ niềng răng chuẩn Nhật – Mỹ, cá nhân hóa từng ca điều trị
Tại NeoSmile, mỗi phác đồ niềng răng đều được xây dựng dựa trên phân tích chuyên sâu khớp cắn, cấu trúc xương hàm và thẩm mỹ gương mặt. Phòng khám ứng dụng công nghệ chỉnh nha tiên tiến theo chuẩn Nhật – Mỹ, giúp kiểm soát lực kéo chính xác, rút ngắn thời gian điều trị và hạn chế tối đa biến chứng. Đây là yếu tố quan trọng giúp NeoSmile khẳng định vị thế địa chỉ niềng răng uy tín tại Hà Nội.
Triết lý “Bảo tồn răng thật tối đa” – An toàn và bền vững
NeoSmile luôn theo đuổi triết lý điều trị “Bảo tồn răng thật tối đa”, đặt yếu tố an toàn sinh học, hiệu quả lâu dài và sức khỏe răng miệng lên hàng đầu. Mục tiêu không chỉ là răng đều đẹp mà còn đạt khớp cắn chuẩn, hạn chế tái phát và đảm bảo chức năng ăn nhai ổn định về sau.
Lý do vì sao nên chọn niềng răng tại Nha khoa NeoSmile- Địa chỉ niềng răng uy tín tại Hà Nội theo tiêu chuẩn Nhật Bản
- Trực tiếp điều trị bởi Tiến sĩ chỉnh nha Nhật Bản đầu tiên tại Việt Nam
- Hơn 1.000 ca chỉnh nha thành công
- Phác đồ cá nhân hóa, an toàn và hiệu quả lâu dài
- Công nghệ chỉnh nha hiện đại, chuẩn quốc tế
- Chăm sóc tận tâm, theo sát suốt quá trình điều trị
Hàng ngàn ca niềng răng đã thực hiện thành công tại Nha Khoa Neosmile chính là minh chứng rõ ràng nhất. Nếu bạn đang tìm kiếm một địa chỉ niềng răng uy tín tại Hà Nội, hãy liên hệ với Nha Khoa Neosmile để được tư vấn và trải nghiệm.
THÔNG TIN LIÊN HỆ:
Địa chỉ: 93 Trường Chinh, Phương Liệt, Hà Nội
Hotline: 0335 322 992
Website: https://neosmile.vn/
Fanpage: https://www.facebook.com/nhakhoaneosmile?locale=vi_VN
Gọi điện
TS.BS.Nguyễn Anh Tuấn- Tiến sĩ chỉnh nha Nhật bản - Nha khoa NeoSmile 
Nha Khoa Neosmile -
Nha khoa Sea Dental
Gọi điệnNha khoa Sea Dental là một trong những nha khoa uy tín, có chất lượng hàng đầu tại Hà Nội hiện nay. Trong đó, niềng răng trong suốt Invisalign chính là thế mạnh và cũng là một dịch vụ được đông đảo khách hàng đánh giá cao tại đây.
Sea Dental đầu tư về cơ sở vật chất:
- Phòng khám tuyên bố đầu tư mạnh vào trang thiết bị hiện đại: máy CT 3D Cone Beam, máy X‑quang kỹ thuật số, máy Piezotome nhổ răng ít sang chấn, công nghệ CAD/CAM cho răng sứ…
- Trang thiết bị bao gồm lò hấp Autoclave, tủ tia cực tím, phòng thủ thuật riêng biệt; nhiều dụng cụ sử dụng một lần cho mỗi bệnh nhân (cốc súc miệng, khăn trải…) để giảm nguy cơ lây nhiễm chéo.
- Thêm vào đó, không gian phòng khám thoáng đãng, sạch sẽ còn đem đến những phút giây thoải mái và xua tan lo lắng khi điều trị.
Với đội ngũ chuyên gia chỉnh nha dày dặn kinh nghiệm, thực hiện thành công hàng nghìn case niềng răng từ đơn giản đến phức tạp, Nha khoa Sea Dental đang dần trở thành nha khoa đầu tại Hà Nội trong lĩnh vực niềng răng Invisalign nói riêng cũng như các dịch vụ về chăm sóc răng miệng nói chung.
Ưu điểm của dịch vụ niềng răng Invisalign tại Nha khoa Sea Dental:
- Công nghệ tiêu chuẩn hàng đầu của Đức, niềng răng bằng khay niềng thông minh - “tàng hình”, hạn chế đau và không hề bị lộ.
- Giảm thiểu rủi ro, biết trước kết quả sau niềng ngay trong lần hẹn đầu tiên.
- Dễ dàng tháo lắp - thỏa mãn đam mê ăn uống và vệ sinh răng miệng dễ dàng hơn.
Ngoài niềng răng Invisalign, Nha khoa Sea Dental còn cung cấp đa dạng các phương pháp niềng răng khác nhau như:
- Niềng răng mắc cài sứ
- Niềng răng mắc cài kim loại,... Mỗi ca niềng răng đều được các bác sĩ lên kế hoạch điều trị một cách chính xác và lựa chọn phương pháp niềng răng phù hợp nhất. Qua đó, giúp khắc phục những khuyết điểm của hàm răng như: Răng mọc lệch, hô, móm… một cách hiệu quả.
Bên cạnh những ưu thế về tay nghề bác sĩ và trang thiết bị, công nghệ hiện đại, Nha khoa Sea Dental cũng đưa ra mức chi phí niềng răng hợp lý. Đặc biệt, niềng răng tại Nha Khoa Đông Nam Á khách hàng có thể trả góp với lãi suất 0%, cam kết về hiệu quả và không phát sinh chi phí.
- Niềng răng mắc cài kim loại (tại SEA Dental): Khoảng 30.000.000đ cho niềng mắc cài kim loại tự buộc.
- Niềng răng mắc cài sứ tự buộc: Khoảng 45.000.000đ.
Review trải nghiệm tại Nha khoa Sea Dental:
- "Chất lượng dịch vụ tuyệt vời. Bác sỹ siêu nhẹ nhàng. Lễ tân vui tính. Rất happy ^^"
- "Mình cho e gái đi khám lấy cao răng và niềng răng. Bác sũ rất nhiệt tình, cơ sở rất sạch sẽ thoáng mát. Mình thấy rất hài lòng và lần sau lại đến"
Chính vì vậy, nếu bạn muốn tìm kiếm một địa chỉ niềng răng uy tín ở Hà Nội thì còn chần chờ gì nữa mà không đến ngay Nha Khoa Đông Nam Á để kiểm chứng.
THÔNG TIN LIÊN HỆ:
Địa chỉ: 166 Nguyễn Tuân, Thanh Xuân, Hà Nội
Hotline: 0911 222 798 & 0768 234 999
Email: dongnamanhakhoa@gmail.com
Website: https://seadental.vn
Fanpage: https://www.facebook.com/nk.dongnama
Giờ mở cửa: 8:00 - 19:30
Gọi điện
Nha khoa Sea Dental 
Nha khoa Sea Dental -
Nha khoa Kim
Gọi điệnChọn đúng địa chỉ niềng răng uy tín ở Hà Nội có ý nghĩa rất nhiều trong việc mang lại kết quả điều trị chỉnh nha tốt và an toàn. Trong các nha khoa chất lượng hiện nay, Nha khoa Kim nổi bật lên là một địa chỉ niềng răng uy tín ở Hà Nội được rất nhiều khách hàng đánh giá cao. Nha khoa Kim đã thực hiện thành công hàng ngàn trường hợp niềng răng chỉnh nha hiệu quả, thẩm mỹ cao và an toàn, làm hài lòng khách hàng cả về chất lượng và dịch vụ.
Nha khoa KIM đặc biệt rất chú trọng tới công nghệ, máy móc phục vụ công tác thăm khám, điều trị:
- Nhiều thiết bị hiện đại như máy chụp X-quang Cone Beam CT 3D, phần mềm phân tích hàm mặt Vceph, phần mềm dự đoán tăng trưởng niềng răng không mắc cài ở trẻ em được đưa vào thực tế, giúp hỗ trợ đắc lực cho các bác sỹ trong việc lập kế hoạch, lộ trình điều trị niềng răng, tăng hiệu quả và tính chính xác cao.
- Hệ thống vô trùng nghiêm ngặt: Nhằm đảm bảo vệ sinh, an toàn cho bệnh nhân; được xem là một trong những yếu tố tăng uy tín
Nha khoa Kim có hơn 15 năm kinh nghiệm về niềng răng và lĩnh vực chăm sóc, điều trị răng hàm mặt. Ngoài các chi nhánh tại Hà Nội, Nha khoa KIM còn có rất nhiều chi nhánh khác tại nhiều tỉnh thành trên cả nước, đáp ứng và tạo sự thuận tiện cho bệnh nhân, khách hàng tới điều trị.
- Bệnh nhân niềng răng tại Nha khoa KIM sẽ được bác sỹ thăm khám, tư vấn điều trị cụ thể. Với trình độ chuyên môn giỏi, kinh nghiệm dày dặn và tay nghề vững, bác sỹ của Nha khoa KIM đã điều trị niềng răng cho rất nhiều người thành công, an toàn, hàm răng đều đẹp, cải thiện ăn nhai hiệu quả.
- Đội ngũ bác sĩ: Nha Khoa Kim nhấn mạnh rằng 100% bác sĩ có chứng chỉ hành nghề, được đào tạo bài bản.
- Tùy vào nhu cầu và tình trạng răng miệng của từng người, khách hàng có thể lựa chọn nhiều giải pháp niềng răng khác nhau. Nha khoa KIM cung cấp đa dạng nhiều loại khí cụ niềng răng chất lượng tốt, được kiểm định về tính an toàn với sức khỏe răng miệng, xuất xứ chính hãng.
- Không chỉ hài lòng với chất lượng điều trị, khách hàng còn an tâm với dịch vụ chuyên nghiệp, hỗ trợ tận tình, chu đáo trong suốt quá trình niềng răng chỉnh nha.
Ưu điểm dịch vụ niềng răng tại Kim:
- 100% vật liệu niềng răng chính hãng, xuất xứ rõ ràng.
- Với niềng răng sứ tại Nha Khoa Kim, mắc cài được làm bằng chất liệu sứ cao cấp, màu gần giống màu răng thật giúp giảm thiểu việc “lộ niềng” khi giao tiếp.
- Trước khi niềng, tình trạng răng miệng (như răng sâu, viêm lợi) được xử lý nhằm tránh biến chứng trong quá trình chỉnh nha.
- Hợp đồng chỉnh nha được lập rõ ràng, minh bạch giữa phòng khám và khách hàng.
Chi phí niềng răng tham khảo tại Nha khoa Kim:
- Mắc cài kim loại: Khoảng 40.000.000 – 50.000.000đ cho bộ 2 hàm.
- Mắc cài sứ: Khoảng 55.000.000 – 65.000.000đ.
- Khay/niềng trong suốt (ví dụ Invisalign): Có mức từ khoảng 75.000.000đ và lên tới 125.000.000 – 139.000.000đ với trường hợp phức tạp.
- Mắc cài mặt trong: Khoảng 100.000.000 – 120.000.000đ
Review trải nghiệm tại Nha khoa Kim:
- "Phòng vô trùng hoạt động liên tục, mình nhìn thấy các test kiểm định được dán ngay trước cửa – không hề giấu quy trình."
- "Trải nghiệm niềng răng mắc cài sứ tại đây thật sự khiến mình tự tin cười nhiều hơn, cảm giác nhẹ nhàng lắm."
Với sứ mệnh giúp cho mọi khách hàng được tiếp cận những dịch vụ điều trị, thẩm mỹ nha khoa tiên tiến nhất trên thế giới ngay tại Việt Nam. Nha Khoa KIM đã không ngừng nỗ lực, nâng cao chất lượng và chuyên môn, đồng thời liên tục mở rộng cơ sở cho ra đời chuỗi hệ thống nha khoa hàng đầu Việt Nam, mang đến kết quả tối ưu nhất, an toàn nhất, làm hài lòng tất cả khách hàng khi đến thăm khám, điều trị.
THÔNG TIN LIÊN HỆ:
Địa chỉ: 224 Xã Đàn, P.Phương Liên - Trung Tự, Q.Đống Đa, Hà Nội
Điện thoại: 1900 6899
Email: cskh@kimdental.vn
Website: nhakhoakim.com/
Fanpage: www.facebook.com/NHAKHOAKIM
Giờ mở cửa: 09:00 – 19:30
Gọi điện
Nha khoa Kim 
Nha khoa Kim -
Viện Công Nghệ Nha Khoa Thẩm Mỹ Shinbi (Shinbi Dental)
Gọi điệnViện Công Nghệ Nha Khoa Thẩm Mỹ Shinbi (Shinbi Dental) với hơn 12 năm hoạt động, đã “lột xác nụ cười thành công” cho hơn 10.000 khách hàng, và luôn tự hào là địa chỉ nha khoa thẩm mỹ uy tín và hiện đại nhất tại Hà Nội.
Với dịch vụ niềng răng, Shinbi Dental áp dụng kỹ thuật niềng răng không mắc cài bằng khay Invisalign - Giải pháp chỉnh nha thế hệ mới. Đây là giải pháp chỉnh nha duy nhất đem lại cho bạn sự tự tin và thoải mái ngay cả khi đang niềng răng. Sự kết hợp đặc tính trong suốt và tháo lắp của phương pháp này giúp bạn thấy được cảm giác thoải mái như chưa hề có khí cụ chỉnh nha trong miệng.
Cơ sở vật chất nha khoa Shinbi:
- Phòng điều trị được vô trùng và tích hợp hệ thống máy tính/ dữ liệu, giúp khách hàng theo dõi tình trạng răng – hàm rõ hơn.
- Máy móc hiện đại, nhập khẩu, phục vụ cho các dịch vụ như: nhổ răng bằng công nghệ siêu âm (Piezotome), cấy ghép Implant thế hệ mới, chụp CT 3D, phân tích kỹ thuật thẩm mỹ…
Đội ngũ y bác sĩ tại Shinbi giàu kinh nghiệm:
- Bác sĩ Nguyễn Văn Hòa – Viện trưởng, người sáng lập Shinbi Dental, được mệnh danh là “Phù thủy nụ cười”. Bác sĩ Hòa đã có hơn 16 năm kinh nghiệm trong lĩnh vực nha khoa thẩm mỹ. Ông tốt nghiệp Đại học Y Hà Nội và đã tu nghiệp tại các trường đại học danh tiếng như Harvard.
- Bác sĩ Phạm Minh Thạch – Trưởng Khoa Chỉnh nha tại Shinbi Dental, có hơn 15 năm kinh nghiệm trong lĩnh vực chỉnh nha.
- Bác sĩ Nguyễn Đức Khương – Chuyên gia về cấy ghép Implant, tốt nghiệp Đại học Y Hà Nội và đã hoàn thành chương trình đào tạo chuyên sâu về phẫu thuật miệng và nha chu tại Đại học Bordeaux, Pháp.
Tại Shinbi Dental, niềng răng vô hình nhưng kết quả luôn hữu hình. Với những ưu điểm vượt trội:
- Tháo lắp dễ dàng, thuận tiện ăn uống, vệ sinh răng miệng.
- Vô hình, trong suốt, không lộ mắc cài, giá trị thẩm mỹ trọn vẹn.
- Vô hại đối với men răng và xương hàm, duy trì và bảo tồn một hàm răng khoẻ mạnh.
- Không gây đau đớn, khó chịu
- Niềng răng trong suốt tại SHINBI không chỉ dụng cho các trường hợp chỉnh nha thông thường mà còn được dùng cho các ca chỉnh nha như nhổ răng kéo lùi và giảm hô, móm, khớp cắn sâu, móm nặng.
- Đặc biệt, sử dụng Invisalign có thể đẩy nhanh thời gian tiến hành liệu trình tối đa 2 LẦN so với niềng răng truyền thống, nhanh chóng mang lại nụ cười bạn luôn ao ước.
- Đa số đối với những ca niềng răng sử dụng hệ thống khay chỉnh nha trong suốt tại Shinbi chỉ kéo dài 1 năm. Bạn chỉ cần đeo khay 20-22 tiếng mỗi ngày và những dịp đặc biệt do bác sĩ chỉ định.
Chi phí niềng răng tham khảo tại Shinbi Dental:
- Niềng răng mắc cài (2 hàm) khoảng từ 35.000.000 đến 65.000.000đ
- Niềng răng trong suốt (2 hàm) khoảng từ 65.000.000 đến 140.000.000đ
Review trải nghiệm tại Nha khoa Shinbi Dental:
- "Thật tuyệt khi tới đây chăm sóc răng miệng tại phòng khám nha khoa shinbi"
- "Tôi đã tới khám răng và chăm sóc răng. Trải nghiệm thực sự tuyệt với với thiết bị hiện đại tại phòng khám nha khoa uy tín tại Hà Nội này."
THÔNG TIN LIÊN HỆ:
Địa chỉ: 33 Trần Quốc Toản, Trần Hưng Đạo, Hoàn Kiếm, Hà Nội
Điện thoại: 0988 001 889
Email: info@shinbi.com.vn
Website: shinbi.vn/
Fanpage: www.facebook.com/Shinbi.Dental.Offical/TikTok: https://www.tiktok.com/@nhakhoashinbiofficial
YouTube: http://www.youtube.com/@NhakhoaShinbiOfficial
Gọi điện
Giờ mở cửa: 08:30 – 19:00
Viện Công Nghệ Nha Khoa Thẩm Mỹ Shinbi (Shinbi Dental) 
Viện Công Nghệ Nha Khoa Thẩm Mỹ Shinbi (Shinbi Dental) -
Nha khoa Lucci
Gọi điệnNiềng răng là phương pháp chỉnh nha đòi hỏi rất nhiều yếu tố từ công nghệ, tay nghề bác sĩ tới phác đồ điều trị để đảm bảo kết quả tốt nhất. Toạ lạc tại số 671 Trương Định, Hoàng Mai, Hà Nội, Nha khoa Lucci là địa chỉ nha khoa uy tín về chỉnh nha với hàng ngàn case niềng răng đã thực hiện thành công, cùng quy trình niềng răng đạt chuẩn quốc tế được nhiều người tin tưởng lựa chọn.
Với mong muốn đem lại cho khách hàng những trải nghiệm dịch vụ tốt nhất, đặc biệt là mảng dịch vụ chỉnh nha - niềng răng, thời gian qua Nha khoa Lucci đã không ngừng nỗ lực cải tiến không gian, trang thiết bị đi đôi cùng chất lượng điều trị.Nha khoa Lucci là nơi quy tụ đội ngũ bác sĩ chuyên khoa Răng Hàm Mặt có kinh nghiệm nha khoa từ 5 năm trở lên, có kiến thức chuyên môn, tay nghề giỏi và có tâm, thực hiện thành công hàng trăng ca lâm sàng, được đào tạo liên tục và thường xuyên tham dự các hội thảo nha khoa trong và ngoài nước.
Để niềng răng thành công, bên cạnh trình độ chuyên môn của bác sĩ thì yếu tố công nghệ áp dụng cũng cực kỳ quan trọng. Đó chính là lý do vì sao Nha khoa Lucci sử dụng công nghệ niềng răng 4D SPEED - công nghệ niềng răng độc quyền, niềng răng nhanh nhất hiện nay với nhiều ưu điểm vượt trội:- Hết khấp khểnh, lệch lạc trong thời gian nhanh nhất và an toàn nhất
- Đưa khớp cắn chéo, cắn ngược, cắn sâu về khớp cắn chuẩn nhất
- Định vị lại khung xương hàm thẩm mỹ hài hòa nhất
- Đảm bảo chức năng ăn nhai và phát âm tốt nhất
- Công nghệ niềng răng “4D Speed” giúp rút ngắn thời gian chỉnh nha.
Vì sao bạn nên niềng răng tại Nha khoa Lucci?
- Đội ngũ bác sĩ chuyên khoa giàu kinh nghiệm
- Tư vấn chuyên sâu trên từng khung hàm
- Không nhổ răng số 4
- Đưa ra phác đồ chỉnh nha chính xác riêng biệt
- Đội ngũ chuyên viên tư vấn kịp thời trong suốt quá trình chỉnh nha
- Hỗ trợ trả góp lãi suất 0%
- Tháo niềng - Bảo hành
Chi phí niềng răng tại Lucci:
- Niềng mắc cài kim loại Hàn Quốc: khoảng 25.000.000đ
- Niềng mắc cài kim loại Mỹ: khoảng 29.000.000đ
- Niềng mắc cài sứ Hàn Quốc: khoảng 32.000.000đ
- Niềng mắc cài sứ Mỹ: khoảng 37.000.000đ
- Niềng mắc cài pha lê Mỹ: khoảng 47.000.000đ
- Niềng khay trong suốt loại dễ (ví dụ loại Leetray) tại Lucci: khoảng 35.000.000 – 50.000.000đ
- Niềng khay trong suốt (ví dụ Invisalign) trung bình: khoảng 70.000.000 – 90.000.000đ
Review trải nghiệm tại Nha khoa Lucci:
- "Nha khoa siêu nhiệt tình, ấm áp. Đã gắn bó 2-3 năm ở đây. Lúc nào ac cũng nhẹ nhàng hết. Nay tháo mắc cài. Em cảm ơn tất cả ac tại NK đã đồng hành và hỗ trợ em. Mọi người có thể tin tưởng để niềng ở đây nha. Chúc mn có thời gian gắn bó thật vui vẻ vơi nha khoa …"
- "Mình niềng răng ở đây cảm thấy rất an tâm, bác sĩ có chuyên môn cao, mọi người ai cũng vui vẻ và nhiệt tình, sẽ dẫn người thân đến khám tại đây"
Chính vì thế, nếu bạn còn băn khoăn về địa chỉ niềng răng uy tín tại Hà Nội, Nha khoa Lucci luôn là một lựa chọn sáng suốt. Để đăng ký ưu đãi, tư vấn dịch vụ hoặc đặt hẹn với bác sĩ chuyên gia của Nha khoa Lucci, bạn có thể liên hệ qua hotline 024 3861 3888 - 0918 382 228.
THÔNG TIN LIÊN HỆ:
Địa chỉ: 671 Trương Định, Hoàng Mai, Hà Nội
Hotline: 0969 966 369
Fanpage: www.facebook.com/dental342
Giờ mở cửa: 8:00- 18:00
Gọi điện
Nha khoa Lucci 
Nha khoa Lucci -
Nha khoa quốc tế Việt Pháp
Gọi điệnTại Hà Nội, Nha Khoa Quốc Tế Việt Pháp là một trong những địa chỉ niềng răng uy tín hàng đầu, đã thực hiện thành công hàng ngàn ca chỉnh nha, được khách hàng tin tưởng lựa chọn.
Hệ thống nha khoa Việt Pháp đầu tư trang thiết bị hiện đại:
- Máy chụp phim CT Cone Beam “4-in-1” (gồm chụp cận chóp, chụp toàn cảnh, chụp sọ nghiêng Cephalo và CT 3D).
- Máy quét dấu hàm (scan kỹ thuật số, ví dụ iTero 5D) để lấy dấu răng chuẩn xác trong thời gian ngắn
- Phòng phẫu thuật vô trùng, trang thiết bị hỗ trợ cấy ghép implant nhập khẩu, dụng cụ nha khoa đạt chuẩn quốc tế.
- Không gian phòng khám thường được mô tả là rộng rãi, thoáng mát, sạch sẽ và tiện nghi.
Việt Pháp sở hữu đội ngũ bác sĩ được đào tạo tại các trường y khoa trong và ngoài nước, có chuyên môn sâu, và có chứng chỉ, kinh nghiệm trong các phân ngành như implant, chỉnh nha, phẫu thuật hàm mặt.
- TS. Trương Nhựt Khuê là giảng viên cao cấp, từng giữ vị trí trưởng khoa Răng Hàm Mặt ở Đại học Y Dược Cần Thơ và có liên kết trong các hội quốc tế.
- Chủ tịch HĐQT, TS.BS Trịnh Việt Trang, thường tham gia các hội thảo implant quốc tế và được nhắc đến là người đóng vai trò lãnh đạo chuyên môn.
- Điểm mạnh được người dùng nhắc tới: bác sĩ tận tâm, chuyên nghiệp, có kiến thức chuyên sâu và giữ liên lạc, tư vấn kỹ cho bệnh nhân.
Niềng răng tại Nha khoa Quốc tế Việt Pháp:
- Dịch vụ niềng đa dạng: niềng răng mắc cài mặt trong, niềng răng mắc cài sứ, niềng răng khay trong Invisalign,...
- Với những trường hợp niềng phức tạp, khó, Nha khoa ứng dụng niềng răng sử dụng kỹ thuật Bio Meaw Technique, Bio Geaw Technique
- Đội ngũ bác sĩ được đào tạo chuyên sâu về niềng răng, giàu kinh nghiệm
- Nha khoa Quốc tế Việt Pháp cam kết 100% vật liệu nha khoa được sử dụng đều chính hãng từ các nước Hàn Quốc, Thụy Sĩ, Mỹ, Đức, Pháp…
- Thời gian bảo hành lên tới 20 năm và hỗ trợ chăm sóc khách hàng trọn đời
Bảng giá dịch vụ tại Nha khoa Quốc tế Việt Pháp:
- Niềng răng mắc cài kim loại: 30.000.000đ – 45.000.000đ
- Niềng răng mắc cài kim loại tự buộc: 40.000.000đ – 60.000.000đ
- Niềng răng mắc cài pha lê: 40.000.000đ – 50.000.000đ
- Niềng răng mắc cài sứ 3M: 40.000.000đ – 60.000.000đ
Bên cạnh chất lượng chuyên môn, Nha Khoa Quốc Tế Việt Pháp còn có chính sách bảo hành dài hạn, hỗ trợ tư vấn tận tình và thường xuyên triển khai ưu đãi chi phí niềng răng cho khách hàng. Nếu bạn đang tìm kiếm một địa chỉ niềng răng thẩm mỹ uy tín tại Hà Nội, hãy đến ngay Nha Khoa Quốc Tế Việt Pháp để được thăm khám và tư vấn miễn phí.
Review trải nghiệm tại Nha khoa Quốc tế Việt Pháp:
- "Bác sĩ làm rất cẩn thận, tư vấn nhẹ nhàng. Các bạn lễ tân tiếp đón nhiệt tình ạ. Không gian phòng khám sạch sẽ nên khá là yên tâm. Mình hàn răng ở đây về cũng êm k bị sao. Đặc biệt là về các bạn cũng gọi chăm sóc lại mình nữa "
- "Cuộc đời mình như bước sang trang mới khi được tập thể các bác sĩ ở đây làm lại cho mình một bộ răng mới. Từ một người trầm cảm vì không có răng giờ có thể tự tin cười nói"
THÔNG TIN LIÊN HỆ:
Địa chỉ:- 29 Nguyễn Du, Bùi Thị Xuân, Hai Bà Trưng, Hà Nội
- 69 Trần Đăng Ninh, Dịch Vọng, Cầu Giấy, Hà Nội
- 6 Thái Hà, Trung Liệt, Đống Đa, Hà Nội
- ....
Hotline: 0967 461 199
Email:- cskh.nhakhoavietphap@gmail.com
- info.vietphapdental@gmail.com
Website: nhakhoaquoctevietphap.com.vn/
Fanpage: https://www.facebook.com/Nhakhoavietphapp18TikTok: https://www.tiktok.com/@nhakhoaquocte.vietphap
Gọi điện
Giờ mở cửa: 08:00 – 19:30
Những loại mắc cài niềng răng thẩm mỹ đang áp dụng tại Việt Pháp 
Nha khoa Quốc tế Việt Pháp



















Lương Bích Liên 2018-12-26 16:54:46
mình đang niềng răng bs Phương ở nha khoa Phương Nam, bs làm nhẹ nhàng, nhanh chóng. Sau mỗi lần tái khám là lại thấy chuyển biến rõ rệt. mong chờ từng ngày hàm răng đẹp ^^